Zircon crown on teeth (Case presentation) (59)
Our female patient, aged 37, reported to our clinic with the following problems:
- She had become rather reclusive on account of her teeth.
- Restoration of aesthetics was a top priority so she could feel at ease to smile again.
- She sought to have teeth of uniform colour and shape.
Restoration of aesthetics
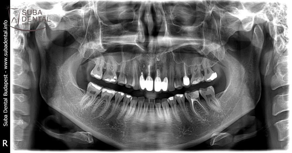
At the first encounter a panoramic radiograph and a series of photographs were taken of the teeth. The radiograph and the clinical examination of the mouth revealed that the upper left second premolar had chipped off, had to be root canal treated again and reinforced with a post-and-core abutment so that a crown could be securely mounted on it. The upper central incisors and the right lateral incisor had been root canal treated and had to be reinforced with a post-and-core abutment as well. The options were discussed with the patient and our choice fell on zirconia crowns for the upper incisors and the chipped-off premolar. Aesthetics can best be restored with metal-free E.Max crowns but since the teeth were root canal treated and had post-and-core abutments we opted for zirconia crowns rather than all-ceramic ones.

Panoramic radiograph of the initial condition
Following preparation of the teeth precision impressions were taken of the tooth preparations. Scaling and Zoom AP 2 in-office teeth whitening were performed so that the colour of the metal-free crowns could be appropriately matched for a perfect smile make-over. All the patient’s requests and photographs were forwarded to the dental technician.
Until such time as the permanent crowns were finished, provisional (plastic) crowns were placed on the tooth preparations in order to protect them and create an aesthetically acceptable situation for the interim period. Several trial fittings followed impression taking as the dental technician was proceeding with the preparation of the crowns.
During the trial fitting of the framework, the impressions were checked for trueness and the frameworks of the tooth restorations were verified for accuracy and a seamless fit of on the master cast. Zirconia crowns have a white framework and are milled using the CAD/CAM computer-driven technology.
At the trial fitting of the matte teeth the crowns are almost complete with the ceramics already sintered onto the framework with a matte finish. At this trial fitting the patient’s bite (function), the shape and colour of the crowns and the centre line and smile line can be checked (trial fitting for aesthetics) with even better accuracy.
Several days may elapse between the different trial fittings while the dental technicians are working on the tooth restorations in the background.
If no adjustments are required following the trial fitting of the matte teeth, the crowns are given their final glossy finish. With the permanent crowns cemented on our patient recovered his self-confidence and feels at ease to smile again.
It is often thought that tooth restorations need no professional tartar removal, but this is a misbelief. There is a close relationship between oral hygiene, the quantity and quality of tartar and the long-term success of the implants. To this end, make sure you abide by the following instructions:
- Reporting for regular annual follow-up, which is also a condition for warranty.
- Undergo professional tartar removal every once or twice a year.
- Use of dental floss (Super Floss) for cleaning bridges and a suitably sized interdental brush at least once in the evening before going to sleep.
- Thorough brushing after each meal, preferably with a soft bristle tooth brush (e.g. Curaprox Ultra Soft, Oral-B Sensitive).

Before

After

Before


After

Before

After

Before


After

Follow-up panoramic radiograph of zirconia crowns mounted on natural teeth
 
  
  
  
 