Screw-retained implant crown (case study)
Our patient aged 28, contacted our clinic with the following requests:
- Previously she had to have her lower left first molar extracted.
- After several months of healing, she wants have the missing tooth replaced with an implant crown. (The benefit of an implant is that adjacent teeth need not be filed (prepared) in order to prepare a bridge).
- She also had aesthetic concerns about the black gap gaping wide among her nice teeth.
At the first appointment a CBCT (Cone beam computed tomography) scan was made in order to examine residual bone mass in 3 dimensions prior to implantation. Based on the CT scan it was established that the bone height and width were adequate for a thin but long implant to be installed. The stability of the implant was over 30 Ncm, allowing for a gingiva former to be installed that would see that the newly formed gumline perfectly suits the permanent abutment.
CT scan displaying the mandible ensuring a 3-dimensional examination of the bone height and bone width.
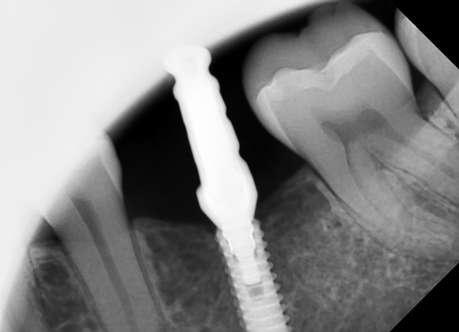
Follow-up panoramic radiograph following the installation of the implant with the gingiva former. The measurements of the implant: diameter: 3.3 mm, length: 13 mm, DIO implant.
Second treatment Following the mandatory 3 months’ healing period we could set about preparing the permanent replacement. Our patient opted for a screw-retained implant crown due to the cost efficiency of servicing. Should any issues arise over the course of years such as injury to the crown, the screw-retained crown can easily be removed allowing for the treatment of the implant underneath and the same crown can be placed back on, on completion of the treatment. No new crown needs to be prepared. Precision impressions were taken of the implant by means of special closed-spoon impression copings. The dental technician got a full picture of the position of the implant and adjacent teeth and can prepare an accurate crown to match its environment. The finished crown only had to be screwed in place and the slot of the through-bolt sealed with a filling. IMPORTANT NOTICE Implant-borne tooth replacements require as much, if not more care and follow-up as natural tooth-borne varieties. There is a very close relationship between oral hygiene and the longevity of implants.
Follow-up scan made of the closed-spoon impression coping, prior to impression taking.
Follow-up panoramic radiograph with the finished screw-retained implant crown.
Side view of the screw-retained implant crown intended for the lower left first molar on a gypsum cast.

Upper view of the screw-retained implant crown intended for the lower right left molar on a gypsum cast.

Lingual side view of the screw-retained implant crown intended for the lower left first molar on a gypsum cast.

Screw-retained implant crown secured on the lower left first molar in the mouth sealed with a permanent, white composite filling.
On top of screw-retained crowns a small slot guides the through bolt securing the crown in the implant. Once the screw is in place the slot is sealed with an aesthetic composite filling. Unfortunately this filling does not always seal perfectly. Occasionally the slot is visible to a minor extent, but only to those “in search of” an aesthetic fault. Under normal circumstances the minor colour transition of the filling is indistinguishable during speech or laughter.
