Implant rejection and tooth loss arising from the omission of regular check-ups, follow-up X-rays, regular tartar removal, and heavy smoking (Case presentation) (41)
Our male patient, 46, revisited our clinic 8 years after dental treatments carried out at our clinic since he was experiencing problems with his previously installed tooth replacements.
His complaints were as follows:
- His teeth and implants were loose
- He had a bad breath (halitosis)
- Pus excreted around the teeth and implants

Photograph of the condition having presented itself. Inflamed, swollen gums, tartar, plaque and discoloration caused by smoking
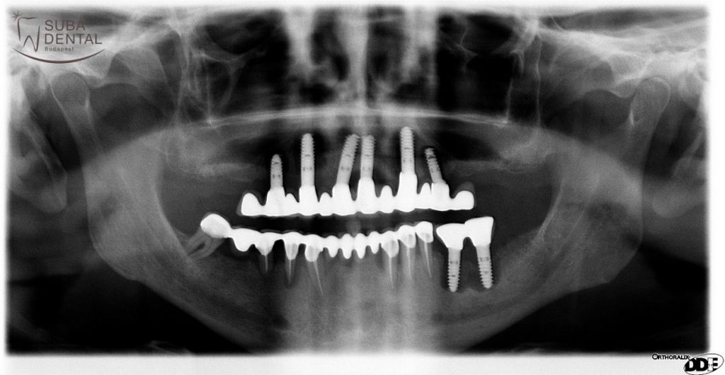
Panoramic radiography was performed and intraoral X-ray scans were recorded of the current condition in order to determine the cause of the problem. It was readily visible in the X-rays recorded that both the patient’s teeth and the implants previously received were beyond repair and the inflammation, infection, bone resorption and peri-implantitis around them indicated the removal thereof (explant surgery). These dental foci may, among other things, cause heart disease, hair loss, dermatological issues and joint complaints.
Had the patient taken our advice when the tooth replacement was prepared as regards regular check-ups and professional tartar removal his teeth and implants would not have fallen into such a state of disrepair. In his own account, our patient has long been a heavy smoker and was unable to quit even despite our advice. Smoking greatly contributes to the development of periodontal disease and adversely affects the long-term success of the implants.
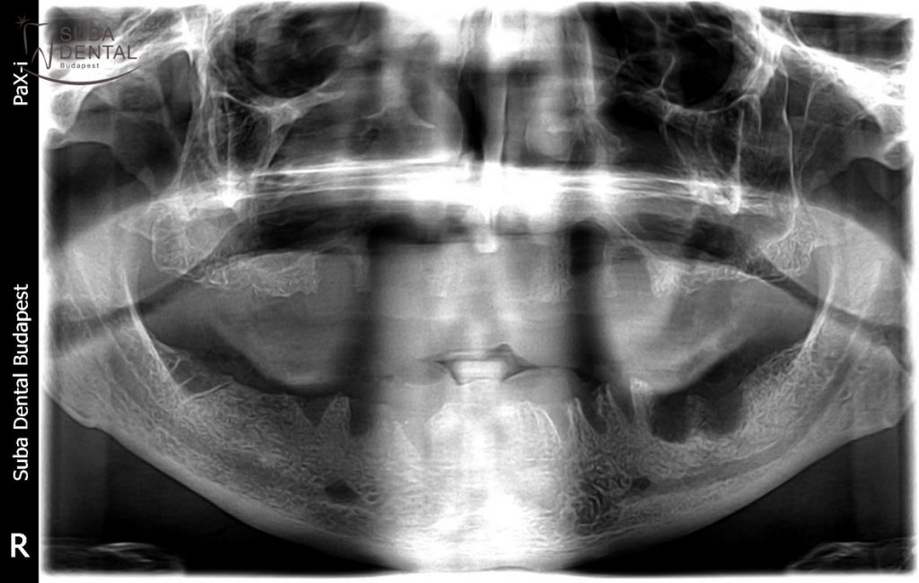
Having removed all the teeth and the implants a provisional removable denture was made. As a result of non-compliance with the warranty conditions the patient had to incur the expenses of the treatment. Upon removal of such extensive foci at least 6 months’ healing time is required for the treatment to continue. The dentist faces a hard decision in such instances. Should the patient receive implants again despite the fact that he had not been able to take proper care of the previous ones? Or should he receive an overdenture despite his young age? Losing his teeth and implants at such a young age was a big blow for him, not to mention the fact with a little more attention, thorough cleaning and regular check-ups the surgical intervention could have been prevented. This is a great disappointment for all. It is important to stress that having received a tooth replacement does not mean that there is no need to see the dentist anymore. We should conceive of our new teeth as a new care rolling out of the dealership. They require regular servicing and maintenance in addition to daily washing and grooming. Annual check-ups and professional tartar removal are warranty conditions.

Due to the omission of regular check-ups and heavy smoking all the implants had to be removed as they had all developed peri-implantitis around them. Bridge replacement was out of the question. The dark shadow around the implants signifies peri-implantitis.


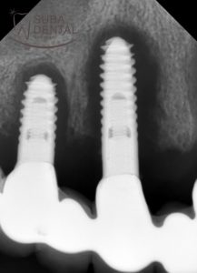
The dark shadow around the implants (peri-implantitis) in the intraoral X-ray scans.


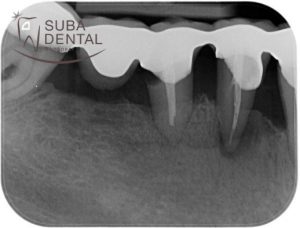
Bone resorption around the teeth, periodontal pockets and inflammation in the intraoral X-ray scans.

Follow-up panoramic radiograph following removal of the teeth and implants
Keywords: peri-implantitis, explant surgery, periodontal disease, chronic periodontitis, dental foci, periodontal pocket, professional tartar removal, smoking, tooth extraction, implant
 
  
  
  
 