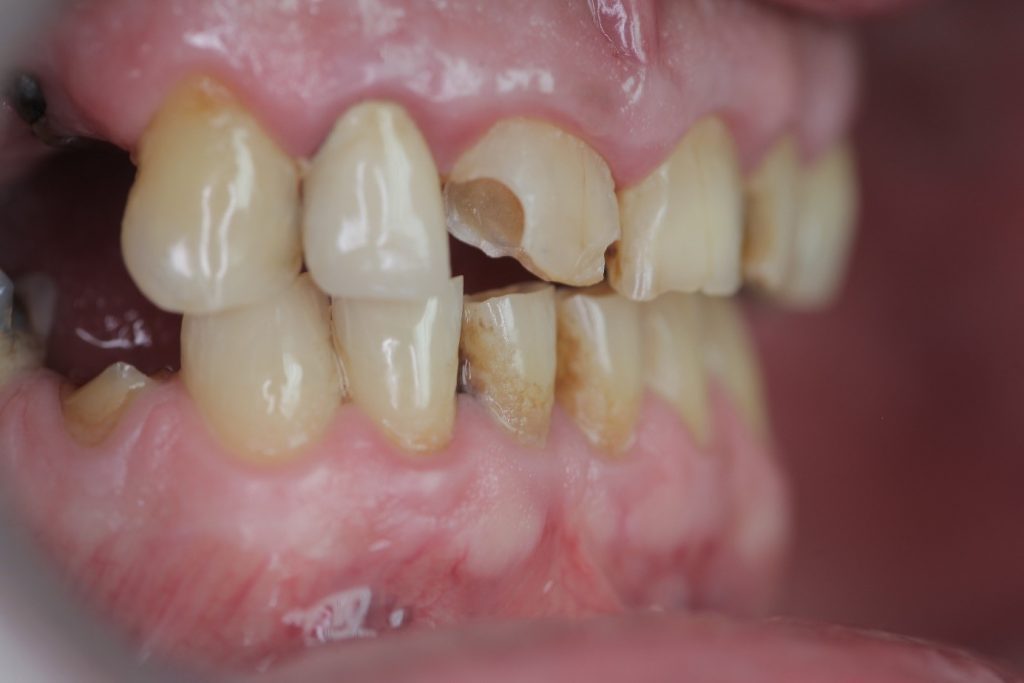
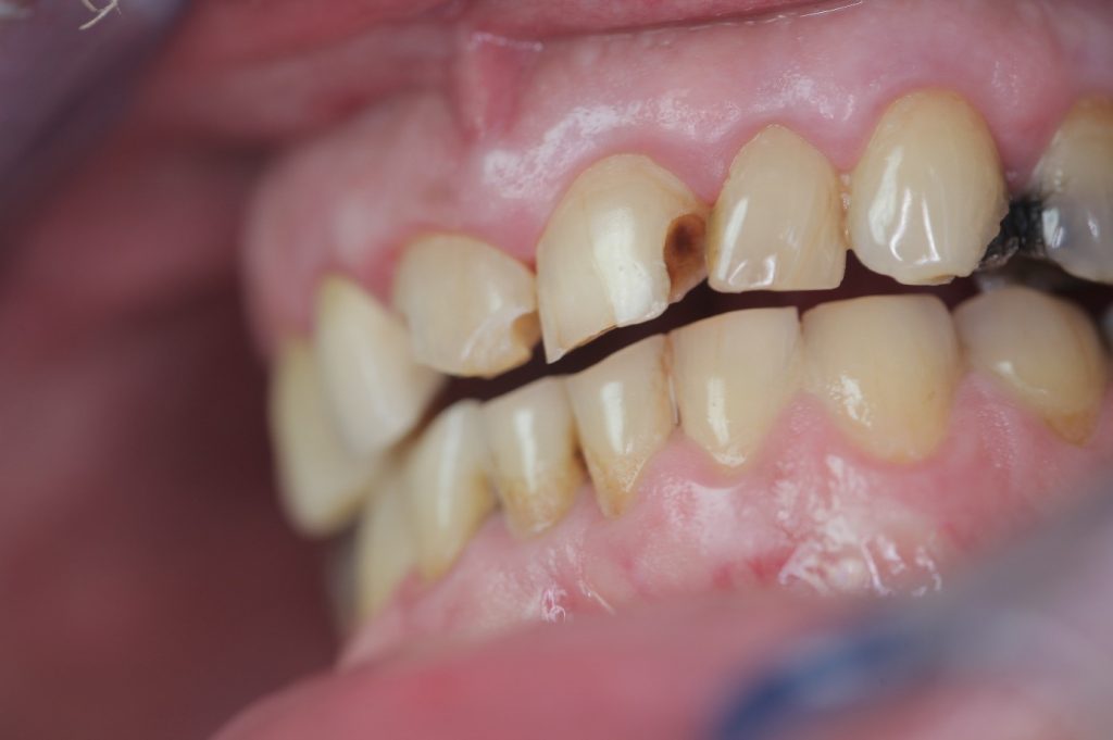
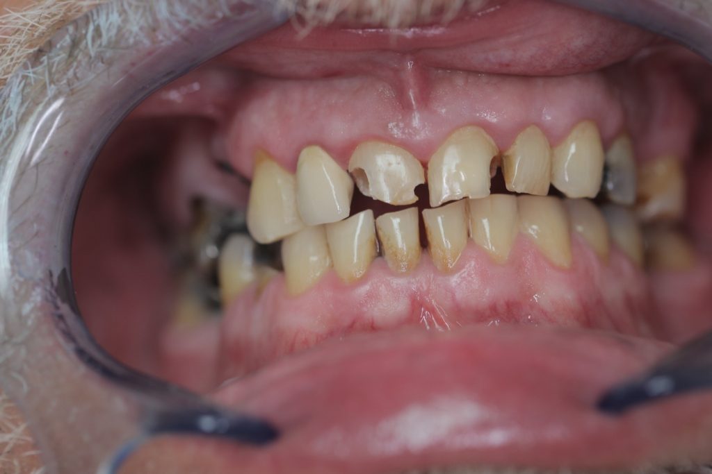
Multiple front teeth fillings, edge restorations using Asteria composite (Case presentation) (54)
A male patient, aged 67, reported to our clinic with the aim of having his condition assessed. He received a detailed treatment plan for his dental problems, which meant the fabrication of a full-arch bridge for his upper jaw. During the patient’s 2-day stint in Hungary we tried to focus on dealing with the most critical problems.



The front teeth were filled using Tokuyama Asteria Estelite filling materials.



