Combined prosthesis (metal ceramic bridge with removable denture) in the maxilla and metal ceramic crowns and bridges in the mandible (case study)
Our male patient presented to our clinic with the following complaints and requests:
- He desired to have his missing molars and bicuspids (premolars) replaced in order to restore mastication.
- He wanted to have his old metal ceramic crowns replaced seeing as they were no longer up to the mark in aesthetic terms.
- He preferred to have his edentulism restored with implants but would refrain from a major bone graft surgery.
First panoramic radiograph (initial condition) presented by the patient.
Follow-up panoramic radiograph following installation of the lower implants and removal of the lower left wisdom tooth.
Second treatment (10 workdays) Following 3 months’ healing time a longer, 10 day long treatment ensued. Precision impression taking: precision impressions are taken of the implants with closed spoon impression copings. Natural teeth are prepared in order to accommodate crowns and impressions are taken thereof. Several test fittings follow impression taking while the dental technician is proceeding with the preparation of the crowns. Frame test fitting: frame test fitting allows us to verify the accuracy of the impressions and the trueness of the frame of the tooth replacement since all tooth replacements must seamlessly fit the master cast. Tooth test fitting: during tooth test fitting the bite, the length of the frame and the teeth are verified, and the middle line of the 2 central incisors and the appropriate rearward curve of the denture are checked. Preliminary test fitting: at the preliminary test fitting the crowns are almost finished, the ceramic is already sintered onto the frame (with a matte finish), the metal plate of the denture is complete, yet the teeth are still embedded in wax to allow for adjustments as required. At this test fitting the patient’s bite (function), the shape of the crowns, the middle line (aesthetics) and smile can be verified with even better accuracy. Completion, handover: if everything is perfect, the crowns are given a glossy finish to sport a natural look. This is also when the denture is finished, receiving its ultimate plastic-embedded form based on the wax mould. Although several days elapse between the different test fittings, the dental technicians are working at full tilt in the meantime. Our patient was content on completion of the treatment and left the clinic with a broad smile. He had to get accustomed to his mouth being full of teeth again, but shortly we had word from him that he felt completely comfortable about the replacement. He was supremely grateful for the solution he received for his condition and for being able to forgo the hassle of major bone graft surgeries.
Follow-up radiograph of the finished replacements: hidden-clasp metal-ceramic bridge in the maxilla, and fixed metal-ceramic crowns and bridges borne by natural teeth and implants in the mandible.

Combined maxillary prosthesis on a gypsum cast. Note the front crowns to which the removable cantilever denture engages with a special hidden attachment (MK1)

The combined maxillary prosthesis removed from the gypsum cast, with a special key required to open the hidden attachment.

The combined maxillary prosthesis dismantled. The anterior metal-ceramic bridge which will serve as the fixed, cemented part (right); the removable denture with posterior teeth and the metal butterfly part to provide for better stability (left).

Metal-ceramic crown and bridge designed for the lower left implant and natural teeth on and off a gypsum cast. The implants received cement-retained crowns.

Metal-ceramic crown and bridge designed for the lower right implant and natural teeth on and off a gypsum cast. In the latter instance the implant abutment and the prepared teeth are visible.

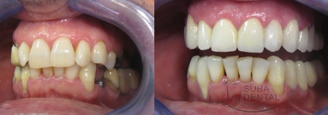
Before After

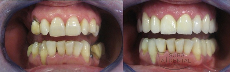
Before After

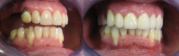
Before After

Before After

Before After

Before After
