Screw-retained implant bridge designed for Straumann implants (case study)
Our male patient 43, lost his lower right molars and contacted our clinic to have them replaced. As he was only able to chew on the left hand side, his teeth grew oversensitive through overexertion, to his no little discomfort. He wanted to have the balance between the two sides restored.
First treatmentAt the first treatment a CBCT (Cone beam computed tomography) scan was made in order to examine residual bone mass in 3 dimensions prior to implantation. Based on the CT scan it was found that the bone mass in the area of the missing lower molars was sufficient for an implant. 2 Straumann implants of diameters 4.1 mm and 4.8 mm were installed, reckoned as ideal for the replacement of molars. The primary stability of the implants was over 30 Ncm at implantation, gingiva formers were therefore used to seal the implants straight away.
 
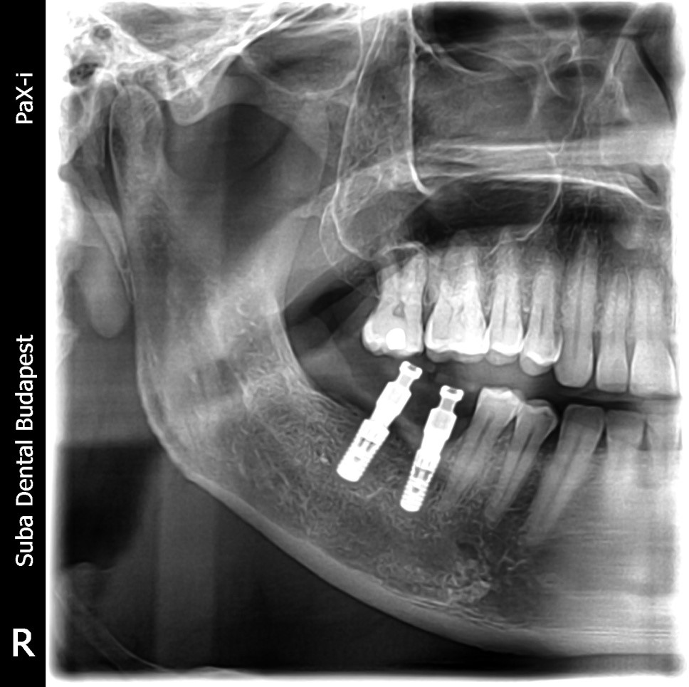
Panoramic radiograph following the installation of the Straumann implants in place of lower right teeth no. 46 and 47.
Second treatment (5 workdays)Following the mandatory 3 months’ healing time we could set about preparing the permanent replacement. Our patient opted for a screw-retained implant bridge which can be screwed off in the event of an accident and placed back on on completion of the treatment.
Precision impressions were taken of the implants using special impression copings. A few days later the framework (substructure) was test fitted (tried in) to check whether the impressions were accurate and the denture framework was true. All tooth replacements should now be in perfect alignment with the master cast. This is also when the bite and the length of the framework and teeth are verified.
 
Follow-up radiograph with the impression copings
The handover of the screw-retained metal ceramic bridge was preceded by a preliminary trial insertion where the crowns were almost ready, the ceramic was already sintered onto the metal framework and the patient’s bite (masticatory function), and the shape and colour of the crowns (aesthetics) could be checked with even better accuracy.
Finally, at handover, the finished bridge was screwed in place with a special torque with the appropriate torque applied. Seeing as the surface of the screw-retained bridge was inhomogeneous due to the through bolt passing through it, it had to be sealed with an aesthetic, white composite filling once everything was in place.
 
Follow-up radiograph with the finished screw-retained implant bridge
IMPORTANT NOTICEImplant borne tooth replacements require as much, if not more, attention, care and follow-up as natural tooth borne varieties. In the first year patients are advised to report on two occasions for a short check-up and tartar removal. There is a very close relationship between the build-up of tartar and the longevity of implants. You are advised, furthermore, to have your occlusal height checked frequently lest the bridge should be too high, for in case of a less than perfect fit, excessive bite forces may cause the ceramic to break or inflammation to develop around the implants (periimplantitis).
Further photographs on the case: 
 
Screw-retained implant bridge on a gypsum cast

Upper view of the screw-retained implant bridge. The inhomogeneity of the crowns is readily discernible with the gaps allowing the through bolts to secure the finished replacements in the implants.

Side view of the screw-retained implant bridge. The inhomogeneity of the bridge i. e. the small gaps through which the bridge is screwed in, is barely visible.

Frontolateral view of the screw-retained metal ceramic bridge in the mouth. Viewed from the side or the front the replacement is perfectly aesthetic and the gaps filled with white composite fillings are invisible.

Interdental brush is the most important cleaning accessory for an implant bridge.
Ideally the bridge should be thoroughly cleaned with an interdental brush following each meal, but if this is not possible, at least once daily. The small brush should be inserted all the way in, carefully cleaning food remains from beneath bridge with forward and backward rotating and inward and outward motions. A thorough mouth rinse is also well worth considering.
 
For exemplary patients: implants may also be cleaned with a special dental floss called Super Floss, which ends in a strong plastic line which can be readily passed beneath the bridge, and which has a spongy stretch which expands and ensures a better cleaning efficiency. Though not easy to use on rear molars, a fresh breath and inflammation-free gums are worth the effort…
 
  
  
  
 