The relationship between dental foci, dental implant surgery and bone graft (76)
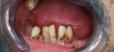
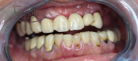
Nowadays most people have a dental focal infection of one kind or another, pre-eminently, neglected periodontal disease.

Neglected chronic periodontal disease
The dentist’s primary goal is the conservation of teeth with professional tartar removal and the instruction of patients on thorough brushing techniques. Sadly, everyday experience shows that due to smoking and the complete neglect of hygiene, teeth will decay beyond repair. The problem can be addressed by the extraction of the teeth and cleansing inflamed tissues, but the question of “what next?” also has to be dealt with. Everyone wants to have their lost teeth replaced, and most people prefer a fixed solution to a removable one. When extracting focal teeth, a dentist always has to bear in mind bone decay resulting from the inflammatory processes in the region at hand. On such occasions the dentist will have to consider the extent of bone decay and whether sufficient bone mass remains after tooth extraction for an implant surgery to be viable and whether the regeneration of bone will be adequate for implantation. The greater the extent of neglect or the longer an inflammation goes untreated, the greater the risk that the bone mass having perished will no longer sustain a “plain” dental implantation, a bone graft will also be necessary. Following tooth extractions and healing (3 months on average) implant surgery can be performed. Prior to the intervention, for the thorough planning of the site and size of the implants a CBCT (Cone beam computed tomography) is performed at all times.
Case presentation no. 1: dental implant surgery without bone graft (tooth extraction – healing – dental implant surgery – permanent too restoration = 6 months)

Root canal treated tooth no. 17 broke into two pieces on bite. The tooth, unfortunately, was beyond repair and had to be removed.

After 3 months of healing the CT scan demonstrated that the bone height and width at the site of the missing molar were adequate for an implant, without bone graft being necessary

Panoramic radiograph of the finished metal ceramic crown installed
The lead time required for the completion of the permanent implant crown from the first encounter was 6 months.
The Possibilities of bone graft for dental implant surgery:
1. Sinus Lift
Often bone width at the site of the upper molars is sufficient but bone height is inadequate. In such instances a so-called sinus lift is required. Sinus lift is a special maxillofacial surgery performed using the PRF technique by cutting a window into the wall of the maxillary sinus with a piezo (Piezo Med, W&H) and lifting the Schneiderian membrane by introducing bone graft material into the maxillary sinus in order to lift the height of the bone. If bone width is sufficient with bone height exceeding 4 mm, a sinus lift and implant surgery can be performed simultaneously since a 4 mm high bone can support an implant and offer good primary stability until the bone graft material integrates and new bone forms in the maxillary sinus around the implant. A minimum of 6 months’ healing time is required before installing the permanent tooth restoration. If bone width is sufficient but bone less is less than 4 mm, a so-called 2-step sinus lift is necessary. This means that in the first session only a sinus lift (bone graft) is performed to fill up the maxillary sinus with bone graft material, and the implants can only be installed after 6 months’ healing time. Once the implants are mounted, another 4 to 6 months are required before the permanent replacement tooth can be cemented/screwed in place.
What are the contraindications of such surgery?
- Existence of an upper respiratory disease.
- With seasonal allergies it is advisable to postpone the surgery to a symptom-free period.
- In the presence of polyps or other inflammations in the maxillary sinus, a sinus lift can only be performed once these have been treated by an otorhinolaryngologist.
- Smoking significantly increases the risk of failure.
- Sinus lift is contraindicated in case of tumour patients (due to radiotherapy and products containing bisphosphonates).
- Neglected oral hygiene (unrehabilitated mouth full of inflammations, infections and abscesses).
A sinus lift can only be performed in an inflammation-free, sound and clean maxillary sinus. This is why a CT is required to rule out chronic lesions in the maxillary sinus.
Case presentation no. 2:
1-step sinus lift is when a sinus lift and implant surgery are performed simultaneously (sinus lift + implant surgery – permanent tooth restorations)

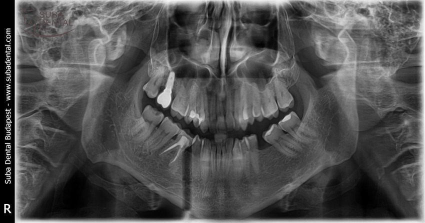
Panoramic radiograph taken prior to the removal of affected teeth. Teeth no. 15 and 16 (upper right premolar and first upper right molar) had to be removed as they could not be saved by root canal treatment

The CT scan revealed that the bone in the upper jaw bone did not heal quite as expected. Bone height was inadequate but bone width was perfectly suited for implants to be mounted. In such cases a bone graft surgery, that is, a sinus lift is required to increase bone height in order to make the installation of implants possible.

Case presentation no. 3:
2-step sinus lift with sinus lift and implant surgery performed in different sittings (tooth extractions – sinus lift-implant surgery – permanent tooth restorations)

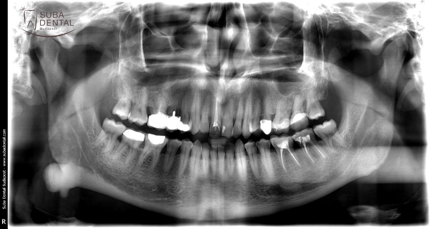
Panoramic radiograph of the initial condition. Several teeth were beyond repair, with all upper teeth due for removal

After 3 months of healing the CT scan revealed that bone height was inadequate on both sides, and a sinus lift was necessary, which could not be performed in the same sitting with implant surgery due to inadequate bone height. In the second sitting bone graft was performed in the upper arch and the lower implants were installed (2 per quadrant).

Panoramic radiograph following the mounting of 8 upper implants and the healing abutments

The finished fixed restoration borne by implants and natural teeth.

Before

After
Turnaround time for the permanent tooth restoration from the first encounter was 2 years.
2. The vertical and horizontal bone augmentation of the jawbone ridge
With inadequate bone height and bone width the only viable solution is a major bone augmentation. This is a time-intensive procedure indicated with extreme bone defects, requiring several surgeries with 6 to 8 months of healing in between, before a permanent tooth restoration can be mounted. It requires resolve and patience to subject oneself to such a series of surgeries. With major bone graft surgeries, the permanent tooth restoration may require a turnaround time of 1.5 to 2 years. It is crucial to adhere to the recommended healing periods in order to achieve the best results for a bone graft/implant surgery.
Case presentation no. 4
2-step sinus lift combined with vertical and horizontal bone augmentation with sinus lift and implant surgery occurring in different sittings (tooth extractions – sinus lift – bone augmentation – implant surgery – permanent tooth restorations)

A female patient in her mid-40’s had a sinus lift performed with a major bone graft with bone blocks taken from her hip bone, in order to restore upper left free-end edentulism. On account of her young age she did not want a removable tooth replacement. 2 years elapsed between tooth extractions and the mounting of permanent tooth restorations. The image above shows the follow-up radiograph 6 years post surgery
With bone grafting procedures the wear of provisional dentures is contraindicated. Wearing a removable denture reduces blood circulation, slows down healing, causes denture sores and infection, or worst of all, the rejection of the implant and the resorption of the bone graft, however successful the implant surgery might have been.
Case presentation no. 5
Dental implant surgery without a sinus lift or bone graft (tooth extractions – implant surgery – permanent tooth restorations)

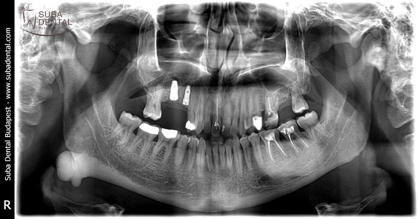
Panoramic radiograph of chronic dental foci, teeth affected by periodontal disease, and root remains. All teeth had to be extracted

Follow-up panoramic radiograph following the installation of implants. Our patient would have needed a bone graft but was completely inconvincible. Therefore, a total of 4 implants were installed per jawbone that would support a bar denture. The dental foci and infections totally destroyed bone width and bone height as a result of which the mounting of implants required great effort and could only be carried out in an asymmetric fashion.

Panoramic radiograph of the lower and upper bar

Before

After
The importance of regular, biannual and annual follow-ups and tartar removal cannot be emphasised enough. The problems do no go out of control if the condition of the teeth and implants are monitored on a regular basis and we can intervene in time when necessary. Problems timely “intercepted” are easier to take are of with less of a financial burden incurred by the patient. Please see your dentist at least once a year for a dental check-up.
 
  
  
  
 