4 implantátumon rögzített stéges kivehető fogsorok fogágybetegségben szenvedő páciensnek (Esetbemutató) (62)
Pácinesünk a következő kérésekkel kereste fel a Suba Dentál rendelőjét:
- Súlyos, kezeletlen fogágybetegsége miatt már korábban elvesztette felső fogait és alsó fogainak egy részét.
- Tudja, hogy az alsókkal is nagy a gond, és a nagy valószínűséggel azokat is ki kell húzni.
- Mivel tudja, hogy a fogágybetegsége nagy mennyiségű csontvesztéssel járt, így nem gondolja, hogy a fix/ rögzített megoldás megoldható lenne nagyobb csontpótlás nélkül, amit viszont egyáltalán nem szeretne.
- Egy stabil, de akár implantátumokra helyezett kivehető fogsorral is nagyon boldog lenne, amihez nincs szükség csontpótlásos beavatkozásra.
Első kezelés: a száj teljes szanálása (fogak eltávolítása), ideiglenes fogsorok készítése (3 munkanap)
Az első konzultációs időpont alkalmával páciensünk egy általa készítetett panorámaröntgen-felvétellel érkezett, így nem volt szükség új felvétel készítésére. A klinikai vizsgálat és a panorámaröngen alapján megállapíthatóvá vált, hogy a fogak valóban nagyon rossz állapotvan vannak, és sajnos menthetetlenné váltak.

Panorámaröntgen-felvétel a fogászati gócokkal, a súlyosan fogágybeteg (chronicus parodontitis) fogakkal
Ha korábban elkezdik kezelni a fogágybetegségét, és a páciens nem hanyagolja el ennyire a szájhigiéniát, valamint évente legalább két alkalommal eltávolítják a supragingivális (íny feletti), valamint a subgingivális (íny alatti) fogkövet, akkor valószínűleg nem kerülnek ennyire rossz állapotba a fogai, és még sokáig megtarthatók lettek volna.

Az alsó fogak, melyeken jól látszik a fogkő és a visszahúzódott fogíny
Páciensünk fel volt készülve erre a hírre, nem érte váratlanul. Átbeszéltük a további fogpótlási lehetőségeket, és a stéges fogsor tűnt számára a legrokonszenvesebbnek. A fix/ rögzített pótlás a nagyfokú csontpusztulás miatt csontpótlás nélkül valóban nem megoldható, de ettől el is zárkózott. Viszont állcsontonként 4 implantátum beültetésének az előzetes vizsgálatok szerint nincs akadálya. Természetesen 100%-os kezelésitervet csak a fogak eltávolítása után 3 hónappal készülő CBCT (Cone beam computed tomography) alapján tudunk felállítani.
Az első kezelés alkalmával az összes meglévő alsó fogát eltávolítottuk, így megtörtént a teljes száj szanálása, és a fogászati gócok megszüntetése. A fogak eltávolítása után azonnal készíttettünk kivehető ideiglenes fogsort (immediát fogsor), hogy a 3 hónapos gyógyulási idő alatt is legyenek fogai, melyekkel tud mosolyogni, közösségbe menni és enni, így önbizalma és életminősége nem sérül. A fogak eltávolításakor PRF technológiát alkalmaztunk, azaz az előzőleg levett saját vért kicentrifugáltuk, és a fibrin rögöket behelyeztük a kihúzott fogak helyére, mely segítette a gyógyulást, és a másnapi kontroll alkalmával az eljárásnak köszönhetően páciensünk egyáltalán nem panaszkodott fájdalomra.
A PRF technológiáról további részleteket itt olvashat
A kivehető fogsorok tisztításáról ide kattintva olvashat részletesen
Második kezelési fázis, fogbeültetés, ideiglenes kivehető fogsor alábélelése (3 munkanap)
3 hónap gyógyulási idő elteltével folytathatóvá vált a kezelés az implantátumok beültetésével (állcsontonként 4-4 darabot terveztünk). Az implantátumok helyének és méretének alapos megtervezése érdekében CBCT (Cone beam computed tomography) felvételt készítettünk, hogy a csontkínálatot 3 dimenzióban tudjuk vizsgálni a beavatkozás megkezdése előtt. A stéges fogsorok nagy előnye a stabilitáson kívül, hogy az implantátumok a csontkínálathoz igazodva helyezhetők be, és a tengelyeltérések az implantátumstéggel korrigálhatók, így elkerülhetők az esetleges csontpótlásos beavatkozások.
Az elkészült CT felvétel alapján az előzetes tervezésünk megvalósíthatónak bizonyult, és nincs akadálya a tervezett implantátumok beültetésének. El is végeztük a 4-4 darab implantátum beültetését egy ülésben, páciensünk kérésére szintén alkalmaztuk a PRF technológiát. A foghúzás után készített ideiglenes fogsorokat az implantátumok behelyezését követően alábéleltük a megváltozott anatómiai viszonyoknak megfelelően, hogy a 6 hónapos gyógyulási idő alatt is hordhatók legyenek.
Az ideiglenes fogsor alábélelésének folyamatáról itt olvashat bővebben
Harmadik kezelési fázis: a végleges stéges fogsorok elkészítése (10 munkanap)
A beültetés után hat hónap gyógyulási időt követően elérkezett az utolsó és leghosszabb kezelési fázis, amikor elkészül a végleges fogpótlás az implantátumokra, azaz a stéges fogsorok. A gyógyulási csavaroknak (healing abutment) köszönhetően a precíziós lenyomatvétel egyszerűen és szinte fájdalommentesen elvégezhető.
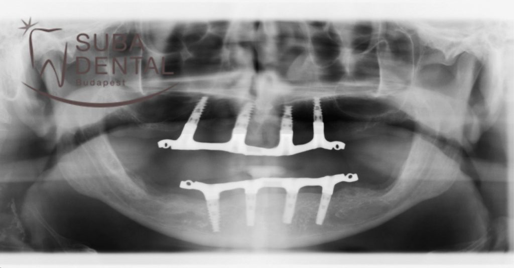
Az ínyformázó csavarok eltávolítása után az implantátumokba egy úgynevezett lenyomatvételi fejet helyeztünk, melyek a fogtechnikus számára pontosan megmutatják a beültetett fogászati implantátumok helyét és tengelyállását a csontban. Kontroll panorámaröntgent készítünk, hogy ellenőrizzük a lenyomatvételi fejek pontosan illeszkednek-e az implantátumokban.
A lenyomatvételek után egy úgynevezett gnatológiai kezelést, (azaz műszeres harapásregisztrálást) végeztünk annak érdekében, hogy a fogtechnikus pontosan lássa az artikulátorban az állcsontok helyzetét, és az elkészülő fogak egy ízülethelyes helyzetben érintkezzenek, mikor a páciens összeharap.
Fogsorok, főleg stéges fogsorok esetében több, nagyon fontos próbafázist kell elvégeznünk, hogy az elkészülő fogpótlások pontosan illeszkedjenek, és esztétikailag is tökéletesek legyenek. A próbák különböző sűrűségben zajlanak, Előfordul, hogy naponta 2 próbát is el kell végeznünk, de van, hogy napok is eltelnek két próbafázis között.
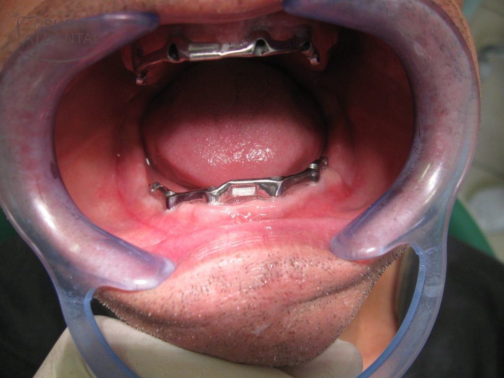
A stégpróba során az elkészült stéget a helyére, azaz az implantátumokba csavaroztuk a gyógyulási csavarok eltávolítása után, hogy ellenőrizni tudjuk a fogpótlás vázának pontosságát.
A fogpróba alkalmával az esztétikán van a legnagyobb hangsúly, valamint a fogak helyes érintkezését is itt tudjuk még ellenőrizni. A fogpróba során lehetőség van javítani az esztétikán, ha egyedi kérések vannak a fogak állásával, formájával kapcsolatban, mivel a fogak ilyenkor még egy piros viaszágyba vannak behelyezve, és abban egyszerűen mozgathatók a szakemberek számára.
Az átadás során az elkészült stégeket a helyükre csavarozzuk, és a megfelelő nyomatékkal rászorítjuk az implantátumokra, melyekre aztán a végleges fogsorok kerülnek majd.
Páciensünk a kezelés végeztével elégedetten és nagyon boldogan távozott új fogaival. Azonban a garancia megőrzése érdekében rendszeresen ellenőrzéseken, szájhigiéniai kezeléseken, professzionális fogkő-eltávolításon kell részt vennie. Elmagyaráztuk és megmutattuk, hogy a fogsort nagyon fontos tisztán tartani. Lehetőség szerint minden evés után ki kell venni, és meg kell tisztítani protézistisztító kefével! A szájban lévő implantátumokat és a stéget naponta nagyon alaposan meg kell tisztítani fogkefével, fogkrémmel, illetve a stég alatt és az implantátumok mellett Super Flossal és interdentális kefével.

Alsó 4 implantátumra készült stég a mestermintán
Alsó stéges fogsor MK1 rejtett elhorgonyzással



Felső 4 implantátumra készült stég és a műíny a mestermintán
Felső stéges fogsor a mestermintán MK1-es elhorgonyzással

Stéges fogsorok esetében a stég olyan stabilitást biztosít a fogsor számára, hogy szájpadlás nélkül is jól tud tartani, így ez olyanok számára is megoldást nyújthat, akik szájpadlásos fogsort nem tudnak hordani.

A rejtett (MK1-es) elhorgonyzás kinyitásához szükséges pici nyílás. melybe a nyitáshoz szükséges kulcs behelyezhető. A fogsort csak úgy lehet kivennni, ha a kulccsal a kis reteszt kinyitjuk

Az alsó és felső stégről készült kontroll panorámaröntgen-felvétel

Alsó 4 implantátumra készült stég szájban

A kész stéges fogsorok szájban átadás után

Előtte

Utána

Előtte

Utána

Előtte

Utána

Előtte

Utána

Utána
