Fogágybetegség miatt elvesztett frontfogak pótlása fémkerámia körhíddal (Esetbemutató) (56)
33 éves nő páciensünk a következő kérésekkel és panaszokkal kereste fel rendelőnket:
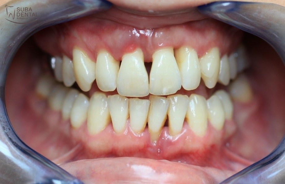
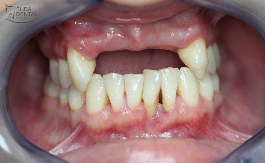
- Úgy érzi, hogy gondok vannak frontfogaival. Fogínye nagyon visszahúzódott, fognyaki érzékenységre panaszkodik, és fogai nagyon mozognak.
- A fogai közti fekete lyukak nagyon zavarják.
- Bár fél a fogorvosoktól, úgy érzi, hogy nem lehet tovább halasztani a beavatkozást.
- Fiatal, csinos nő lévén nagyon fontos számára az esztétika helyreállítása, hogy újra bátran merjen mosolyogni.
- Első körben a felső fogait szeretné kezeltetni, az alsókkal csak később szeretne foglalkozni.

Előtte

Utána
Első kezelés (3 munkanap)
Páciensünknek az első konzultáció alkalmával egy panorámaröntgent készítettünk, és megvizsgáltuk a fogak és a fogágy állapotát. Az első vizsgálat során kiderült, hogy a felső, még meglévő őrlőfogait el kell távolítani, mert olyan nagy gyulladás van a gyökerek körül, amit már nem lehet kezelni, és az egyetlen megoldás a fogeltávolítás. Ezek a gyulladások fogászati gócok, melyeket feltétlenül kezelni kell, mert sok más egyéb, nem fogászati problémát is okozhatnak (pl.: hajhullás, bőrgyógyászati és kardiológiai szövődmények). A felső frontfogait is el kell távolítani, mert a nagyfokú horizontális és vertikális csontfelszívódás (csontrezorbció) miatt menthetetlenek. Ez nagyon megrémítette páciensünket, aki mindeddig bízott abban, hogy ez a drasztikus beavatkozás elkerülhető. Fogászati implantátumokat nem szeretne, inkább híddal pótoltatná hiányzó fogait, ha csak lehet. Ez a felső fogak esetében megoldható, de ha az alsó állcsontba fix pótlást szeretne, muszáj implantálni.
Foghiánynál a rágófunkció helyreállítása érdekében az első nagyőrlő fogat is pótolni kell, hogy a falatokat rendesen meg lehessen rágni, és ne alakuljanak ki emésztőrendszeri gondok a nem eléggé megrágott falatok miatt.
Természetesen a beültetést megelőzően CBCT (Cone beam computed tomography) felvétel készült, hogy a csontkínálatot 3 dimenzióban tudjuk vizsgálni, és alaposan megtervezhető legyen a beavatkozás. Mivel az implantátum stabilitása a beültetés során nagyobb volt, mint 30 Ncm, így gyógyulási vagy más néven ínyformázó csavart lehetett behelyezni, hogy az íny tökéletes formára gyógyulhasson a végleges felépítmény számára.

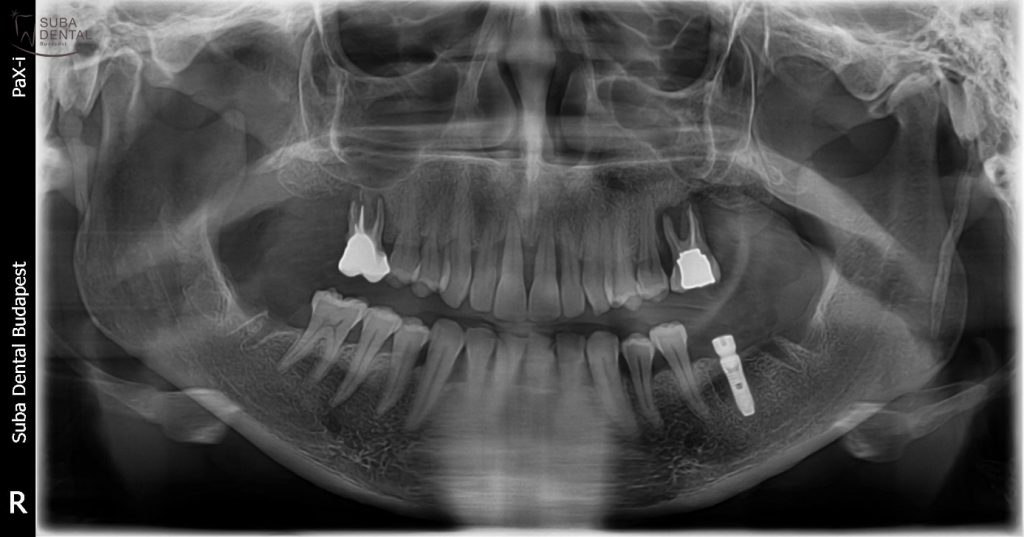
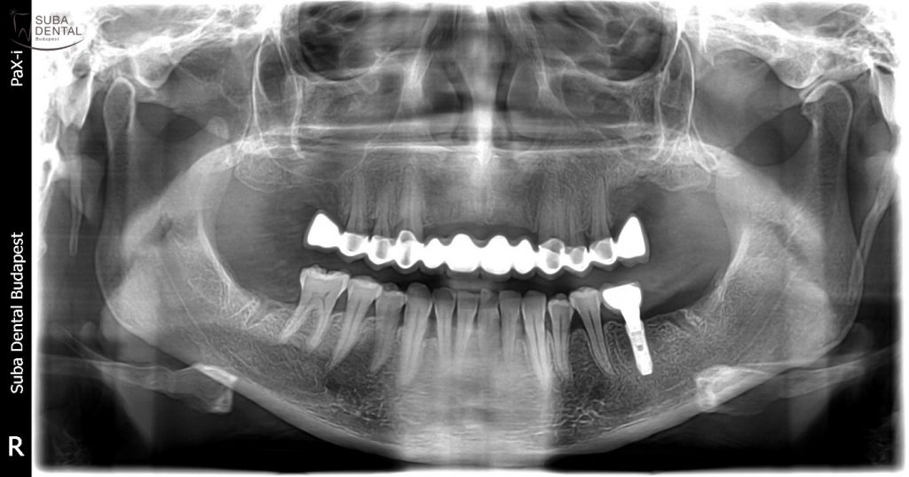
Kontroll panorámaröntgen a bal alsó nagyőrlő helyére beültetett implantátummal
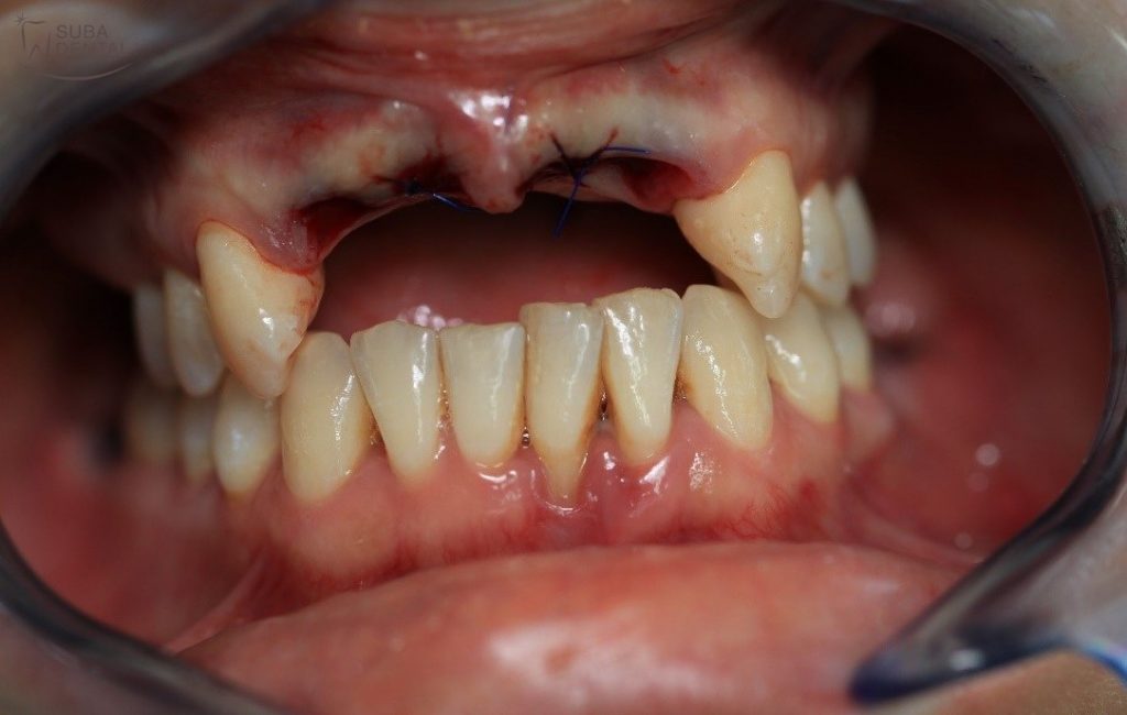
A kezelést másnap a szükséges fogak eltávolításával folytattuk. A gyógyulási időre ideiglenes kivehető fogsort készítettünk, hogy páciensünk önbizalma ne sérüljön.

Fotó a fogak eltávolítása előttről

Fotó a fogak eltávolítása után. A sebet néhány varrattal zártuk a szebb és gyorsabb gyógyulás érdekében

Ideiglenes fogsor a frontfogak pótlására. Esztétikus ínyt utánzó kapcsokkal, mely a nagyobb esztétikát szolgálja.

Ideiglenes fogsor a szájban, mely a gyógyulás idejére egy esztétikus megoldás nyújt

Mosoly az ideiglenes fogsorral, amit a 4 frontfog helyére helyeztünk fel
Második kezelés (10 munkanap, 3 hónapos gyógyulást követően)
Az előírt 3 hónapos gyógyulást követően elkezdődhetett a végleges fogpótlás, azaz a koronák/híd elkészítése.

A gyógyult íny a foghúzások helyén a gyógyulási időt követően
Páciensünk cirkónium koronákkal szerette volna pótoltatni hiányzó fogait, de a fogtechnikus mester megerősítette döntésünket, hogy ilyen nagy fesztávú hidat, kétoldalt lengő tagokkal nagyon nem ajánlott cirkon körhíddal pótolni, így végül hagyományos fémkerámia körhidat készítettünk. Ritkán fordul elő, hogy nem teljesülhet a páciens vágya a koronaválasztást illetően, de ez pont e ritka esetek egyike. Természetesen alaposan átbeszélte a kezelőorvosával és a fogtechnikussal a lehetőségeket, és elfogadta az érveket, így fémkerámia koronák készültek, az alsó implantátumra pedig csavarozható implant-koronát készítettünk.

Szulkusztágító fonal behelyezése a fogak lecsiszolásánál. A fogtechnikus így pontosan látja a fog peremét és pontosan tudja elkészíteni a koronákat
A fogászatnak egy jól működő csapatmunkának kell lennie, ahol mindenki érti a dolgát, hogy a páciensek az egyénre szabott legjobb ellátást és megoldást kapják problémáikra. Munkatársaink ennek érdekében rendszeresen járnak továbbképzésekre, és egyeztetnek egymással, hogy mindez megvalósulhasson.

Az alsó nagyőrlő helyére beültetett DIO implantátum gyógyulási csavarral a gyógyulási idő elteltével

Az alsó nagyőrlő helyére beültetett DIO implantátum a gyógyulási csavar eltávolítása után. Jól látszik, hogy az íny nagyon szépen gyógyult a végleges felépítmény formájára

Zárt kanalas lenyomatvételi fejről készült kontroll panorámaröntgen-felvétel a precíziós lenyomatvételt megelőzően
A végleges koronák elkészüléséig ideiglenes (műanyag) koronákat készítünk a lecsiszolt fogakra, hogy védjük azokat. A lenyomatvételek után több próbafázist kell elvégeznünk, ahogy a fogtechnikus halad a koronák elkészítésével. A próbák alkalmával a műanyag ideiglenes koronák eltávolíthatók, és újra vissza is ragaszthatók.
Mivel páciensünk mindig is szeretett volna egy kicsit fehérebb fogakat, így a professzionális fogkő-eltávolítás után Zoom 2 rendelői LED lámpás fogfehérítést végeztünk,
hogy az új fogszínhez ki tudjuk választani a koronák színét a tökéletes és fehér mosoly elérése érdekében.
A vázpróba során ellenőrizzük, hogy pontosak voltak-e a lenyomatok, pontosan készült-e el a fogpótlás váza, (megfelelő lesz-e a fogak hossza), illetve minden fogpótlásnak tökéletesen kell illeszkednie a mestermintán. Ha szükséges, itt még a folyamat elején be lehet avatkozni, és nem az elkészült koronáknál derül ki az estleges probléma, amikor már jóval bonyolultabb, vagy akár lehetetlen a korrekció.

Felső körhíd fémváza a mestermintán

Vállasan csiszolt fogcsonkok

A felső fémkerámia körhíd fémváza a mestermintán

A felső fémkerámia körhíd fémváza szájban (vázpróba)
A nyerspróbán (mattpróba) a koronák már szinte készen vannak, a vázra már rá van leplezve a kerámia. Ezen a próbán még jobban ellenőrizhető a páciens harapása (funkció), valamint a koronák alakja, színe, a középvonal és a mosolyvonal (esztétika próba). Ennél a fázisnál még mindig lehet javítani az esztétikán, ha szükséges. Javítás esetén megismételjük a mattpróbát, hogy az esztétika is tökéletes legyen.

Nyerspróba (mattpróba) a szájban
Ezek után a fogtechnikus már csak egy csillogó réteget (glazúrt) éget a koronákra, mely igazán élethűvé teszi azokat, és készen is állnak a végleges ragasztásra.
Az elkészült fémkerámia körhíd mestermintán. A magasabb esztétika érdekében a fogak közötti részen a fogtechnikus rózsaszín kerámiát használ, mely megegyezik az íny színével és takarja a fekete lyukakat. A fekete lyukak (fekete háromszöghatás), ami a fognyakak között alakul ki, rendkívül előnytelen esztétikai képet tud mutatni.

Az elkészült fémkerámia körhíd mestermintáról levéve szemből

Az elkészült fémkerámia körhíd mestermintáról levéve, alulnézetből
A különböző próbák és fázisok között néha napok telnek el, de időnként csak pár óra. Ezek különböző időtartamú munkafolyamatok, melyek nagy odafigyelést igényelnek, hogy a végeredmény tökéletes legyen.

Csavarozható fémkerámia korona a bal alsó hatos helyére beültetett DIO implantátumra

Csavarozható fémkerámia korona a mestermintáról levéve a rögzítést szolgáló átmenő csavarral
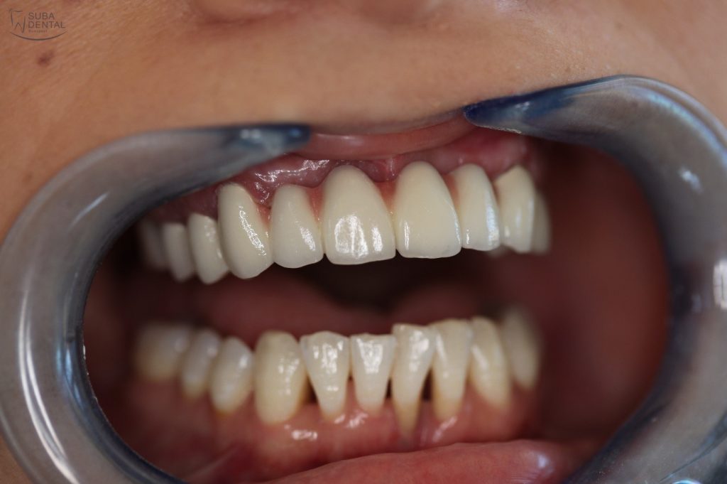
Az koronák végleges ragasztása után páciensünk újra boldogan tud mosolyogni, nem kell többé takargatnia a fogait.
Felhívtuk páciensünk figyelmét a rendszeres ellenőrzések fontosságára, és megmutattuk neki a helyes otthoni tisztítás alapjait.

A kész panorámaröntgen-felvétel a kész felső fémkerámia, és az alsó DIO implantátumra készült fémkerámia ragasztható koronával

A kész felső fémkerámia körhíd szájban

Előtte

Utána

Előtte

Utána

Előtte

Utána

Előtte

Utána
