Fémkerámia híd saját fogakra (Esetbemutató) (33)
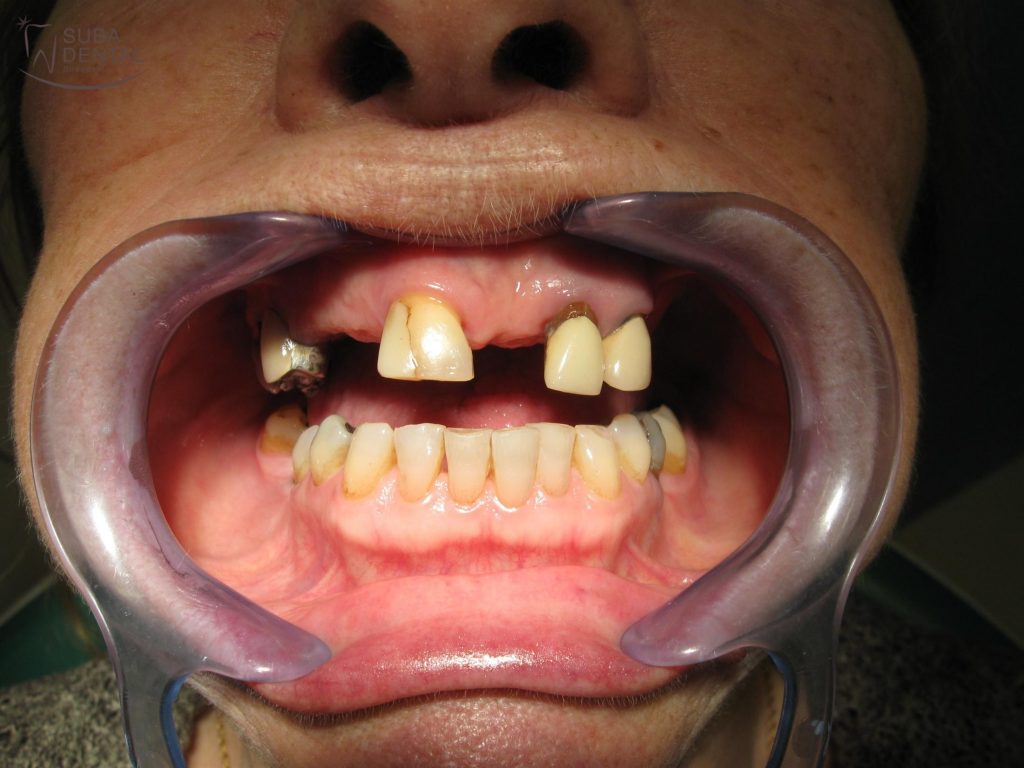
74 éves nő páciensünk a következő panaszokkal, illetve kérésekkel fordult a Suba Dentál rendelőhöz:
- Felső fogai közül jó néhányat elvesztett, és egy kapcsos fogsort készítettek a számára, melyet nem tudott megszokni.
- Esztétikusabb, fix pótlást szeretne.
- Örülne, ha fogai fehérebbek lennének.
- Az implantátumok beültetésétől nem zárkózik el, de a csontpótlástól idegenkedik.

Előtte
Utána
Első kezelés (3 munkanap)
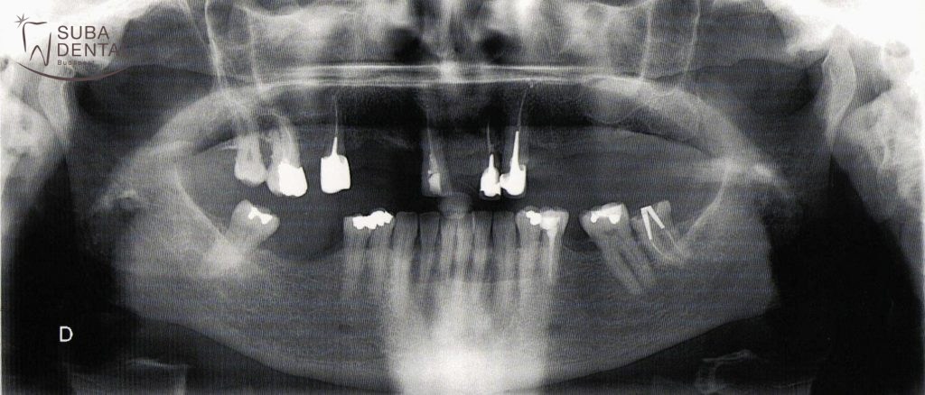
Az első konzultáció alkalmával a panorámaröntgen alapján alaposan megvizsgáltuk a fogak állapotát. CBCT (Cone beam computed tomography) felvétel alapján pontosan láthatóvá vált, hogy a csontkínálat megfelelő ahhoz, hogy az hiányzó jobb alsó őrlőket implantátumokkal pótoljuk. A bal felső régióban viszont az implantátumokkal való pótlás csak csontpótlással (sinus lift) lehetséges, melyet páciensünk nem szeretett volna.
Az első kezelés alkalmával fogkőeltávolítást, és rendelői Zoom fogfehérítést végeztünk, valamint az alsó hiányzó őrlőfogak helyére oldalanként 2 implantátumot helyeztünk be.

Panoráma röntgen, melyet a páciens hozott magára az első konzultációra
Páciensünk a gyógyulási időre nem kért ideiglenes pótlást, mivel eddig sem volt semmilyen fogpótlása alul, így erre a 3 hónapra sem készítettünk neki.

Régi, kivehető felső fogsora, mellyel sosem tudott megbarátkozni
Második kezelés (10 munkanap)
3 hónap gyógyulási idő elteltével elérkezett az idő a végleges koronák elkészítésére. Fémkerámia koronákat, hidakat készítettünk a saját fogaira, és az alsó implantátumokra. Páciensünk esetében egy féloldali, kombinált fogpótlást is készítettünk, amivel elkerültük a csontpótlást.
Mikor szükséges a kombinált fogpótlás?
Ezt általában sorvégi hiányok esetében alkalmazzuk, mikor a saját front fogak megvannak, és a hátsó fogak hiányoznak. A saját fogakra ilyenkor egy rögzített fémkerámia híd készül, és ehhez kapcsolódik egy rejtett elhorgonyzással a kivehető fogsor, mely a hiányzó hátsó fogakat pótolja.
Az esetek nagy részében a végleges fogpótlás elkészítése igényli a leghosszabb kezelést az összes találkozóból. Precíziós lenyomatokat veszünk a lecsiszolt fogakról és az implantátumokról, zártkanalas lenyomatvételi fejek segítségével.

Zártkanalas lenyomatvételi fejek az implantátumokba helyezve kontroll röntgenfelvételen
A lenyomatvételek után több próbafázist kell elvégeznünk, ahogy a fogtechnikus halad a koronák elkészítésével. A vázpróba során ellenőrizzük, hogy pontosak voltak-e a lenyomatok, precízen készült-e el a fogpótlás váza, illetve minden fogpótlásnak tökéletesen kell illeszkednie a mestermintán. Itt ellenőrizzük még a harapást, a váz hosszát, azt, hogy elég hosszúak-e a fogak, középen van-e a 2 nagymetsző, illetve hogy szép ívben haladnak-e a fogak hátrafelé. A nyerspróbán a koronák már szinte készen vannak, a fém vázra már rá van leplezve a kerámia. Ezen a próbán még jobban ellenőrizhető a páciens harapása (funkció) valamint a koronák alakja, színe, a középvonal és a mosolyvonal (esztétika próba). A különböző próbák között több nap is eltelik, ilyenkor a háttérben a fogtechnikusok dolgoznak a fogpótláson. A próbák közötti időben megtörténik a szükséges fogak gyökérkezelése és újra gyökérkezelése is.
Páciensünk az új fogaival maximálisan elégedett. Boldog, hogy a felső fogsorát egy szép, fix fogpótlással állítottuk helyre, csupán egy picike kivehető résszel. Régi fogsora már csak egy rossz emlék maradt.
FONTOS!
Az elkészült fogpótlást rendszeresen ellenőriztetni kell, ez a garancia feltétele is! Sokan úgy gondolják, hogy a fogpótlásokkal nem kell professzionális fogkőeltávolításon részt venni, de ez tévhit! A fogpótlásokra is le tud rakódni a fogkő, és ilyen esetekben is nagyon fontos a rendszeres, dentálhigiénikus által végzett professzionális tisztítás, évenként legalább 1-2 alkalommal.

Alsó fémkerámia koronák saját fogakra és ragasztható implantátum koronák gipszmintán

Alsó ragasztható implantátum felépítmények a behelyezéshez szükséges csavarhúzóval

Felső kombinált fogpótlás. Jól láthatóak elöl a fémkerámia koronák, melyhez hátul kapcsolódik a kivehető fogsor egy speciális rejtett elhorgonyzással
Felső kombinált munka gipszmintán. Jól láthatóak a front koronák, melyhez kapcsolódik a kivehető fogsor rész egy speciális rejtett elhorgonyzással (MK1)

Felső fémkerámia körhíd gipszmintán

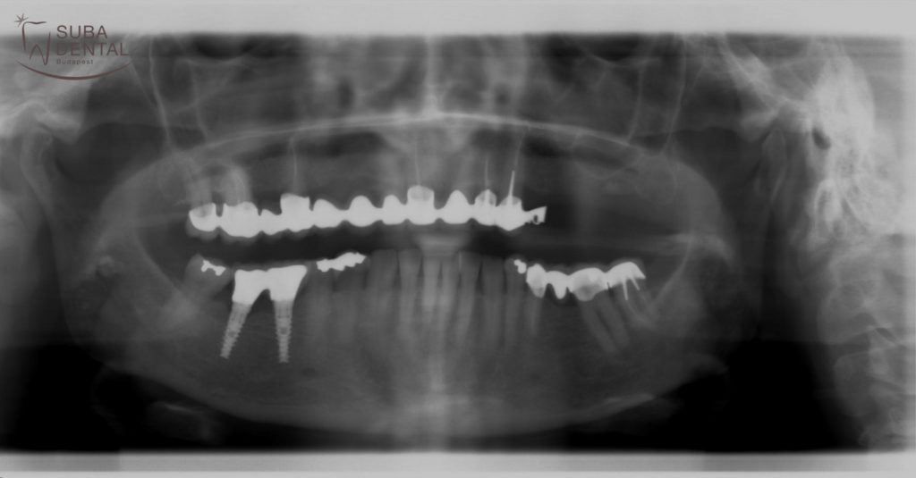
Kontroll panorámaröntgen felvétel a saját fogakra és implantátumokra készült fémkerámia koronákról

A kezelés előtt

A kezelés után
Kulcsszavak: fémkerámia korona, fémkerámia híd, kivehető fogpótlás, fogsor, implantátum, ragasztható implantátum korona, kombi munka, rejtett elhorgonyzás, fogpróba, MK1
