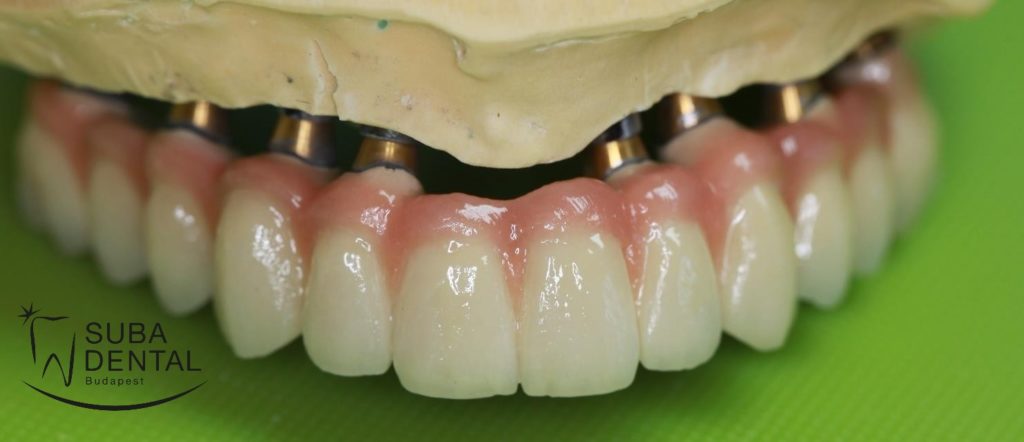
Az implantátumra készülő ragasztható korona vagy híd
Az implantátum egy hiányzó fog műgyökere, amit az íny alá, a csontba ültetünk be. Miután becsontosodik az implantátum (3 hónap), elkészítjük rá a fogpótlást (korona vagy híd). Az implantátum és a korona között egy felépítmény (abutment) helyezkedik el, ezt becsavarjuk az implantátumba, és valójában ez a felépítmény tartja meg (mint egy lecsiszolt fogcsonk) a koronát. Rögzítés szempontjából kétféle koronát lehet készíteni az implantátumra: ragasztható vagy csavarozható koronát. 


Mit is jelent a ragasztható implantátum korona?
Egy hiányzó fog pótlása implantátum behelyezésével is lehetséges. Ez a típusú rögzített fogpótlás 3 részből áll:
- implantátum
- felépítmény (abutment)
- ragasztható fémkerámia vagy fém-mentes (E.Max vagy Cirkon) korona. A ragasztható implantátum korona azt jelenti, hogy a fogpótlás (korona vagy híd) egy speciális ragasztócement segítségével rögzül a felépítményen.

Milyen előnyei vannak a ragasztható fogpótlásnak a csavarozhatóval szemben?
- Beteg szempontjából a legnagyobb előnye, hogy esztétikusabb, mint a csavarozható korona, mivel a ragasztható implantátum koronát ráragasztjuk az implantátumba becsavart felépítményre, a csavarozható korona tetején pedig van egy lyuk, amin keresztül bemegy a koronába a csavarhúzó és úgy húzzuk meg a felépítmény kis csavarját, ami rögzíti a koronát az implantátumon.
- Olcsóbb, mint a csavarozható implantátum korona, mivel egy kész, előregyártott felépítményre készül a korona, amit a technikus „csak elővesz a fiókból”.
- Fogtechnikus szempontjából egyszerűbb és gyorsabb az elkészítése a ragasztható koronának, mert egy kész felépítményre „simán” elkészíti a technikus a koronát.
- Fogorvos szempontjából egyszerűbb és gyorsabb a szájba való beragasztása a ragasztható koronának, mint a csavarozhatóénak.


Milyen hátrányai vannak a ragasztható fogpótlásnak a csavarozhatóval szemben?
Legnagyobb hátránya ha véglegesen cementtel beragasztjuk a koronát a felépítményre, többet azt nem lehet eltávolítani, csak roncsolással levágni a felépítményről. Ilyenkor teljesen újra kell készíteni a koronát (új lenyomatokat kell venni, új harapás, új vázpróba stb.). Amennyiben a korona sérülése nem a fogorvos vagy fogtechnikus hibája miatt szükséges, a teljes anyagi felelősség a beteget terheli (utazás, korona újrakészítése stb.)
Mikor kell eltávolítani egy ragasztható implantátum koronát?
A leggyakoribb okok:
- baleset miatt letörik a kerámia (sport, fémre, csirkecsontra, megymagra, dióhéjra stb. harap a beteg)
- esztétikai okok (csont és ínyvisszahúzódás az évek során, elszíneződnek a szomszédos fogak stb.)
- megváltozott a beteg harapása az évek során, esetleg más helyen fogakat veszített, régi fogak kikoptak, kitörtek, így javasolt a harapás és a fogak kiegyensúlyozása
- sajnos az is előfordul, hogy egy erős harapásra, éjszakai fogcsikorgatásra, fogszorításra stb. sérül a felépítményt rögzítő kis csavar, tehát a kis átmenőcsavar menete meglazul, „elfárad”, megszakad. Ilyenkor a fogpótlás (korona vagy híd) meglazul és el kezd mozogni, lötyögni a szájban. Ez nagy gond, mert csak úgy javítható ez a probléma, ha levágjuk és újrakészítjük a koronát. Nagyon ritkán sikerülhet az, hogy átfúrjuk a koronát, megtaláljuk a kis rögzítőcsavar helyét, kicsavarjuk a régi, sérült kis átmenő csavart, ezt kicseréljük egy újra, majd egy töméssel betömjük a lyukat a kerámián (így csavarozható koronává alakítottuk a ragasztható koronát).
Fájdalommal jár az implantátum korona eltávolítása?
Nem. Érzéstelenítésben szoktuk végezni a koronák levágását, ínyhez, szomszédos foghoz nem érünk. Kellemetlenséget okozhat az asszisztens, mikor eltartja az ajkakat, vagy húzza a szájzugot, de ez minden. A fúrás rezgése és hangja még zavaró, de ez lelki fájdalmon kívül mást nem okoz…
Milyen esetekben ajánlott a ragasztható implantátum korona használata?
Ha nagyon sok implantátum koronát készítünk és anyagi okok miatt sokkal drágább a csavarozható pótlás, mint a ragasztható. Front régióban és olyan személyeknél, akiknél maximális esztétikai követelményeknek kell megfelelni, mert pl. a munkájuk megköveteli.

FONTOS! Az implantációs fogpótlások sokkal több odafigyelést, gondozást és utókövetést igénylő pótlások, mint a természetes fogakon rögzített koronák és hidak! A szájüreg higiéniai állapota és az implantátumok hosszú távú sikeressége között nagyon szoros összefüggés van! Évente legalább egyszer kontroll panoráma röntgent kell készíteni és egy alapos professzionális fogkő-eltávolítást! Szervezetünkben bármilyen változás, betegség stb. befolyásolhatja a csont minőségét, fogíny állapotát, ezért fogorvosi vizsgálatok rendkívül fontosak, a felmerülhető problémák korai észrevétele és kezelése érdekében!
