Réhabilitation esthétique, construction d'un pont supérieur en zirconium frontal (Étude de cas) (93)
Notre patiente de 70 ans avait fait appel á notre cabinet avec les demandes suivantes:
-
Elle est très insatisfait de l'esthétique de son pont dentaire frontal supérieur et souhaite le remplacer par un nouveau pont en zirconium.
-
Elle souhaite des couronnes sans métal pour obtenir le résultat final le plus esthétique possible
-
Elle aimerait sourire enfin sans géne et reprendre confiance en soi.
Mise en œuvre de couronnes frontales en zirconium (réhabilitation esthétique)
Lors de la première réunion, nous avons réalisé une radiographie panoramique et une documentation photographique des dents. Le Dr Suba et la patiente ont discuté des options et ont décidé de fabriquer des couronnes en zirconium pour les dents frontales supérieures (6 pièces).

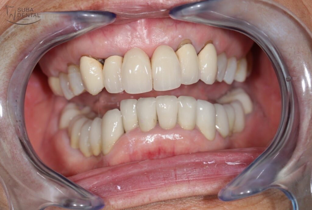
Avant

Aprés

Radiographie panoramique montrant les quatre dents antérieures supérieures enracinées et l'ancien pont dentaire céramo-métalliques
Après le limage et la préparation des dents, une empreinte de précision a été prise des dents. Toutes les demandes des patients ainsi que ses photographies précédemment prises ont été transmises au technicien dentaire.

Moignons avec les anciennes pivots métallqiues.
Après la prise d’empreinte, jusqu’au ce que le prothésiste dentaire réalise les couronnes définitives, des couronnes temporaires ( en acrylate) sont réalisées sur les dents déja limées pour les protéger entiérement et créer une condition esthétiquement acceptable pour cette période transitiore Pendant l’essayage de l’armature, nous vérifions si les empreintes ont été correctement prises, ainsi que la monture en zirconium de la prothèse a été réalisée juste. Car toutes les prothèses doivent s'adapter parfaitement sur modèle en plâtre. La couleur du cadre des couronnes en zirconium est blanc, conçu avec une technologie contrôlée par ordinateur CAD / CAM et est sculpté d’ un seul bloc de zirconium
Au cours d’essayage du biscuit, les couronnes sont presque prêtes, l’armature a déjà été recouverte en céramamique par le technicien. Pendant cette temps la fonction ainsi que la forme et la couleur des couronnes, la ligne médiane et la ligne du sourire (test esthétique) peuvent être vérifiées davantage.
Ayant eu cet essayage si aucun changement n'est pas requis, le prothésiste dentaire va finaliser des couronnes cela veut dire que la couche finale brillante sera obtenue. Après avoir posées des couronnes, notre patiente a pu à nouveau sourir fièrement, sans gêne. La honte qu'elle ressentait á cause de ses dents avait complètement disparu.

Un moyen efficace de nettoyage entre les couronnes est la brosse interdentaire
Beaucoup de gens pensent que les prothèses dentaires ne nécessitent pas du détartrage professionnel , ce qui est une complétement faux ! Il a y un lien étroit entre l'état d'hygiène de la cavité buccale, la quantité et la qualité du tartre et le succès à long terme des prothèses dentaires!
Pour ce faire, veuillez suivre ces suggestions:
-
Il doit être vérifié régulièrement chaque année, ce qui est également une condition de la garantie!
-
L'élimination professionnelle du tartre est recommandée au moins 1 à 2 fois par an.
-
Il est recommandé d'utiliser du fil dentaire, du Super Floss et une brosse interdentaire de la taille appropriée au moins une fois par jour, le soir, avant d'aller au lit pour garder les espaces interdantaires propres.
-
Après chaque repas, nous recommandons un brossage soigneux, de préférence avec une brosse à dents à poils doux (par exemple Curaprox Ultra Soft, Oral-B Sensitive, etc.).

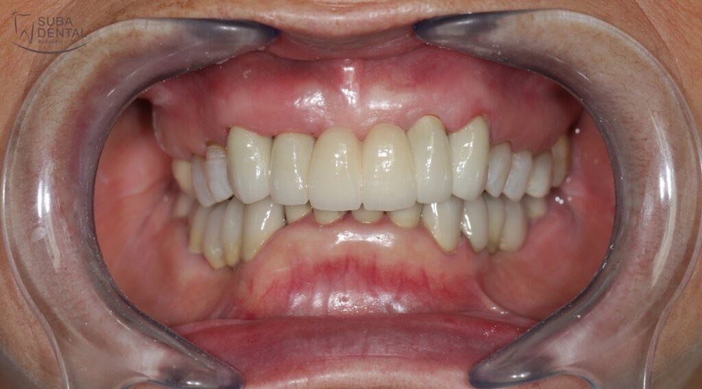
Avant
Aprés:




Avant

Aprés
