Couronnes céramiques /par example E-Max/ ou plûtot zircones? (49)
Quand nous devons répondre aux exigences importants sur le plan d’esthétique dentaire –pour remplacer les dents manquantes- du devant nous conseillons les couronnes en céramiques ou zircones Elles assuront les meilleurs et les plus jolis résultats. Dans les cas de restaurations d’estétiques dentaires. Pour vous présenter quelles sonts les arguments pour et contre veuillez lire cet article á ce sujet. Ces deux types sont:
- Également peuvent étre appliquées dans chaque cas méme aux personnes allergiques aux métaux. Elles sont totalement BIOCOMPATIBLES.
- Elles ne provoquene pas un goût désagréable
- Sont translucides contrairement aux couronnes en céramo-métalliques
- Pas de liseré gris au niveau de la gencive
- Ne contiennent pas de métaux
- Nous les utilisons pour corriger des malformations frontales: fermer des espaces indésirables entre les dents, restaurer et améliorer l’apparence de dents usées ou fracturées
- Elles peuvent changer de formes, de tailles et de couleurs.
L’unique inconvénient de la couronne en zircone est le coût assez élevé par rapport à la ceramo-métallique ou à la ceramo-céramique
Touts ce qu’il faut savoir sur la couronne céramique.
- Dans le cas d’ une couronne renforcée par pivot ne sera pas applicable car elle est translucide.
- Sa préparation est moins invasive nécessite d’enlever moins d’émail.
- Nous nous habituons vite car elles sont comfortables, on les porte sans gêne.
- Dans le cas d’une mastication forte /bruxisme/ elle seront déconseillées.
- Pour remplacer des molaires ainsi par un bridge complet sera également déconseillé.
Cas 01, Fermeture de diasthéme avec les couronnes céramique /E-Max/

Avant

Après
Cas 02, Reconstructions des dents colorées avec des usures de cols dentaires.

Avant

Après
Couronne zircone La couronne en zircone est appelée aussi couronne en zirconium, couronne en oxyde de zirconium, couronne en zircon, couronne céramique zircone, dents en zircone. Le nom de cette couronne fait beaucoup coire aux patients qu’elle est faite entièrement en zirconium. Tandis qu’en réalité, seulement la partie intérieure est faite en zircone, mais l’extérieur est réalisé en céramique. La combinaison de ces deux matériaux offre aux dents en zircone une haute résistance ainsi qu’une esthétique incomparable à d’autres types de couronnes dentaires.
- Dans le cas de couronne par pivot, elle est applicable car elle ne laisse pas apparaitre sa couleur au travers de la couronne
- Trés précis et exact grâce á la technologie assistée par ordinateur/CAD-CAM/
- Elle sera convenable pour remplacer les molaires ainsi que pour une restauration du bridge complet.
- On peut l’utiliser sur ses propres dents ainsi que sur les implants dentaires,
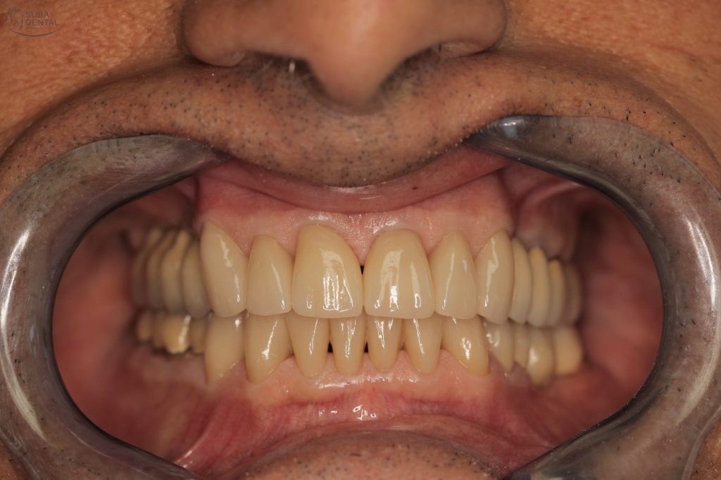
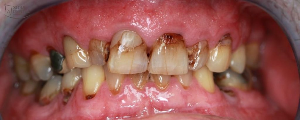
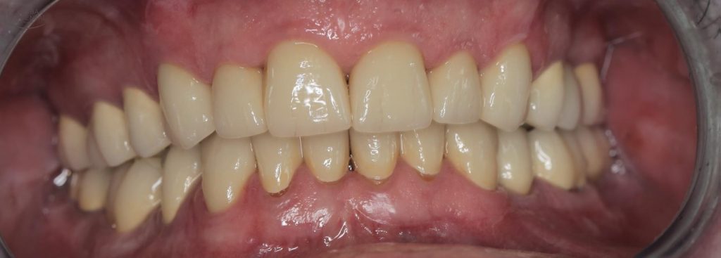
Cas 03, Reconstuctions des anciennes couronnes et des usures de cols plus réhabilitation des dents colorées dévitalisées.

Avant

Après
Cas 04, Changement des anciennes couronnes par couronne en zircon. 
Avant

Après
Touts les restaurations demandent par la suite des contrôles et des soins réguliers pour pouvoir se conserver plus longtemps. Ce conseille devrait étre tenu après avoir regagné son sourire!
