Effets nocifs du tabagisme sur les dents et la cavité buccale (88)
Nous exposons nos dents à de nombreux dangers dans la vie quotidienne, non seulement avec des boissons ou des aliments sucrés, des soins inappropriés, mais aussi avec le tabagisme. En échange de certains effets apparemment agréables du tabagisme, nous devons également faire face à une variété d'effets néfastes.
Chaque jour, nous entendons parler des effets nocifs du tabagisme sur notre corps beaucoup, mais peu du fait que cette passion nocive met également en danger l'intégrité des dents et des gencives, et peut même provoquer le développement de maladies bucco-dentaires très graves, voire mortelles! Ces problèmes n’affecte pas seulement les fumeurs de cigarette, mais aussi les fumeurs de cigare ou ceux de pipe!
Comme la plupart des maladies insidieuses, fumer lentement, au fil des ans, affecte notre corps et nos dents. Même avec des dents de couleur jaunâtre, la gravité de la situation devrait être reconnue, mais malheureusement ce n'est généralement pas le cas.
En plus de la décoloration des dents et des symptômes apparemment insignifiants comme la mauvaise haleine, le vrai danger de fumer dans la cavité buccale a été démontré par la recherche qu'il peut entraîner une carie dentaire (maladie parodontale, parodontite) en raison de ses effets immunitaires. En plus des conditions de diabète et d'immunodéficience, le tabagisme est l'un des facteurs de risque les plus courants de développer une maladie parodontale.
De plus, il ne faut pas oublier que dans de nombreux cas, les implants dentaires ne peuvent pas remplacer les dents perdues à la suite d'une atrophie gingivale. La décoloration des dents induite par la fumée, qui peut être jaune, brun foncé ou même noire, crée un effet esthétique défavorable qui est immédiatement apparent. Dans de nombreux cas, cela peut conduire à un manque de confiance en soi mentalement stressant pour le fumeur concerné. Le tabagisme entraîne également des infections buccales permanentes, il résulte également des dents malsaines et laides et une odeur désagréable de la bouche.

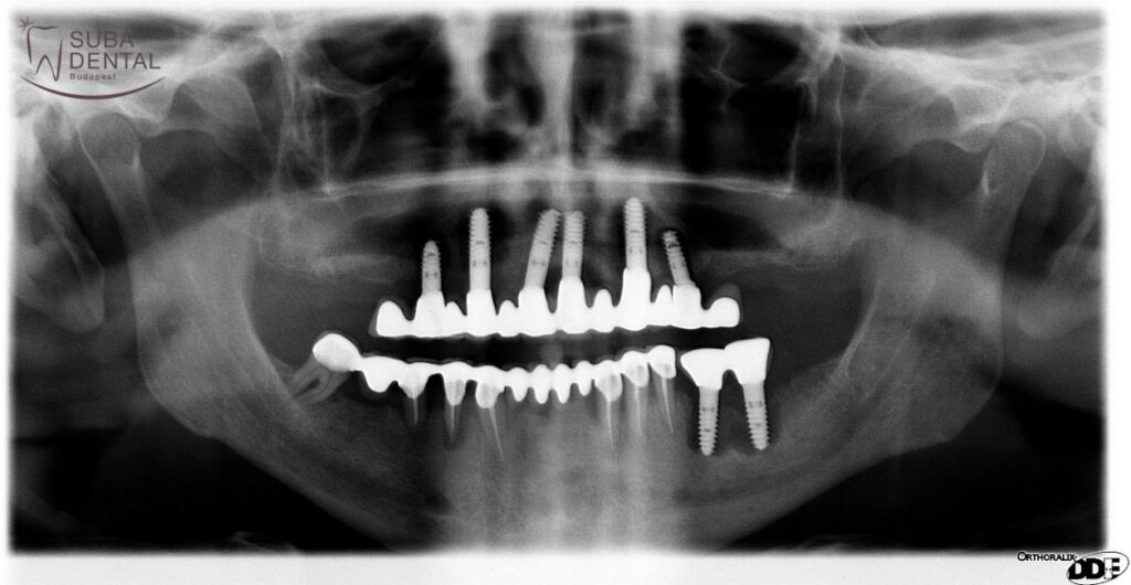
Notre patient qui est un gros fumeur a développé une maladie parodontale sévère. Toutes ses dents ont dû être extraites
Les méfaits dentaires du tabagisme sont très divers. De la simple décoloration des dents à une halaine désagréable aux lésions muqueuses superficielles ou plus sévères à une atrophie gingivale sévère, jusqu'à la perte des dents, ou même de nombreuses tumeurs malignes peuvent être attribuées au tabagisme. Ainsi, on peut voir que le tabagisme n'est pas seulement responsable de la carie dentaire, mais provoque des dommages plus graves, détruisant la gencive, c'est-à-dire provoquant une destruction osseuse autour des dents, ce qui peut entraîner un déchaussement puis une perte de dents. Vous n'avez pas besoin d'être un grand fumeur pour que tout cela se produise! Même en fumant 5 à 10 cigarettes par jour, les fumeurs courent de nombreux risques de développer une maladie parodontale.
Les effets du tabagisme sur la muqueuse buccale sont clairement négatifs. En effet, cette zone est exposée à la fumée la plus chaude, qui se dessèche, l'érode et provoque des changements fatals. La couche épithéliale s'épaissit dans ces zones altérées, et devient de moins bonne qualité et plus perméable aux substances tumorigènes. De plus, la fumée de tabac contient plus de quatre mille composés principalement toxiques qui sont absorbés par les muqueuses de la cavité buccale.
En général, les fumeurs ont une mauvaise hygiène buccale, une tendance plus élevée à la formation de tartre et ont une flore buccale différente de celle des non-fumeurs. Dans le cas des fumeurs, la composition de la plaque est différente, car elle contient de la nicotine, du goudron et d'autres dérivés déposés.
Au cours des dernières décennies, la recherche a montré que le tabagisme a également un effet néfaste sur le système immunitaire. Il a un effet direct sur l'adhérence de la dent et des gencives, en le réduisant considérablement. Il a également été prouvé que les fumeurs ont beaucoup plus de chances de développer une maladie parodontale que les non-fumeurs! La teneur en nicotine de la fumée de tabac endommage les cellules et les vaisseaux sanguins des gencives, ralentissant ainsi la circulation des gencives, à cause de laquelle l'inflammation (qui serait un mécanisme de défense naturel) ne se développe pas correctement, le corps ne peut pas se défendre suffisamment efficacement contre les facteurs dommageables. Pendant le fumage, nous inhalons de la fumée contenant des substances nocives, irritantes et à haute température, qui se dessèche et enflamme tous les tissus avec lesquels elle entre en contact. Chez les fumeurs, les saignements des gencives caractéristiques de la maladie parodontale sont beaucoup plus légers pour les raisons énumérées ci-dessus.
Après une enquête de 10 ans, des scientifiques américains ont découvert que le taux de mortalité osseuse chez les fumeurs était deux fois plus élevé que celui des non-fumeurs. Même si les deux groupes devaient suivre les mêmes protocoles d'hygiène bucco-dentaire dans leur vie quotidienne.

Notre patient gros fumeur (qui a évité les examens dentaires et les détartrages pendant des années) a développé une maladie parodontale sévère qui a attaqué non seulement ses propres dents mais aussi les implants posés (inflammation autour de l'implant - périimplantite).
Ces faits ont fondamentalement renversé l'hypothèse précédente selon laquelle, en maintenant une bonne hygiène buccale en plus du tabagisme, nous pouvions parfaitement prévenir les effets nocifs du tabagisme sur les dents. Aujourd'hui, nous savons que même avec les soins bucco-dentaires les plus parfaits et des examens dentaires réguliers, les effets nocifs de la fumée de tabac se produisent! La vraie solution serait d'arrêter de fumer, ce qui serait vraiment important non seulement pour la santé de nos dents, mais pour la santé de tout notre corps (poumons, cœur, cerveau, vaisseaux sanguins). Le tabagisme compromet également le succès à long terme de tous les implants qui pouvaient être implantés! Comme pour les dents, une inflammation peut se développer autour des implants. (Péri-implantite)
Les dangers du tabagisme ne peuvent être évités que si nous n’allumons pas de cigarette du tout ou si nous arrêtons de fumer dès que possible. Si vous avez déjà développé une maladie parodontale, arrêter de fumer peut aider grandement à ralentir le processus de la maladie, en plus de la thérapie par des spécialistes. Il convient également de savoir que la maladie elle-même ne peut plus être inversée après la période initiale. Soyez fort et consacrez-vous à arrêter de fumer! Nous vous recommandons fortement de participer aux programmes d'équipes spécialisées pour arrêter de fumer!

N'oublions pas l'importance des examens dentaires annuels! En plus de nos dents, il existe un système de mastication complexe dans notre cavité buccale, qui comprend également les gencives, la muqueuse buccale, les mâchoires, les muscles masticateurs et la langue. Malheureusement, non seulement nos dents peuvent développer des problèmes, mais de nombreuses autres maladies peuvent survenir dans la cavité buccale, ou même des symptômes d'autres maladies dans nos organes peuvent apparaître ici. L'étape la plus simple et la plus importante dans la prévention et la détection rapide des maladies graves commence chez le dentiste, avec un simple examen dentaire et radiologique!
Un détartrage professionnel annuel et un examen dentaire sont recommandés pour tout le monde même si:
• dents intactes
• vos dents de sagesse ont été enlevées ou vous ne les avez pas eues du tout
• vous n'avez pas de prothèse dentaire
• la quantité de tartre est infime
• Toutes vos dents ont été extraites et vous portez une dentier complet, amovible
Deux fois par an, des examens dentaires et un détartrage professionnel sont recommandés dans les cas suivants:
• si vous souffrez de ou pensez avoir une maladie parodontale
• après la pose de l'implant
• pour ceux qui portent une prothèse fixe ou amovible
• avec dents bouchées
• pour les porteurs d'appareils orthodontiques
• en cas de forte consommation de tabac
• si vous buvez beaucoup d'alcool
• patients atteints de cancer
• les personnes atteintes de diabète
• en cas de maladie cardiaque
• patients psychiatriques (sous médication)
• dans le cas des saignements fréquents des gencives
• les personnes atteintes d'une maladie chronique
• en cas d'ostéoporose
