Interventions chirugicales: Sinus lift, greffe osseuse, implant immédiat, explantation (étude de cas)
A
Notre patient de 52 ans a contacté le cabinet dentaire Suba Dental avec les plaintes suivantes:
- Les dernières dents renstantes de la région supérieure droite ont été enlevées il y a peu de temps, laissant le patient sans aucune molaire supérieure, la mastication était presque impossible pour lui. Il a souhaité restaurer la fonction masticatoire en remplacant les dents par les implants si possible.
- Il n’était pas contre le remplacement osseux s'il était nécessaire pour obtenir des implants, mais il n’a pas voulu de solution amovible.
- Il n’a pas voulu de prothèse provisoire amovible qui pouvait nuire aux chances de cicatrisation pour le temps de cicatrisation.
Première visite
Au cours de la première visite un scanner 3D (CBCT - Cone Beam Computed Tomography) a été réalisé pour examiner l'état de l’os en 3 dimensions. Basé sur le scanner, nous avons déterminé que la hauteur et l’épaisseur ne sont pas suffisantes pour pourvoir poser des implants côté gauche, un remplacement osseux, notamment un sinus lift est devenu nécessaire. Du côté droit la zone des extractions n’est pas bien cicatrisée, un nettoyage chirurgical était nécessaire pour éliminer les tissus mous incarnés (tissu de granulation). L’implant 17, qui avait été précédemment posé dans une autre clinique, était également en très mauvais état, la résorption osseuse environnante et l'inflammation, la péri-implantite, justifiaient le retrait de l'ancien implant (explantation).
Nous avons discuté en détail avec le patient de son état dentaire, expliqué et effectué les traitements suivants:
- À droite, l'implant 17 a été enlevé (explantation) et le site ainsi que le lieu de l'extraction dentaire mal cicatrisée adjacente ont été nettoyés chirurgicalement. A cause du nettoyage récent la pose des implants n’était pas encore possible à ce moment-là. Après 4 à 6 mois de cicatrisation les soins dans cette région ont pu être continués.
- Sur le côté gauche, une faible hauteur osseuse nécessitait un remplacement osseux (sinus lift) et deux implants ont été posés dans en même temps. En cas de remplacement osseux, nous toujours prévoyons un minimum de 6 mois de cicatrisation avant de commencer la phase prothétique.
À la demande de notre patiente, nous n'avons pas fabriqué de prothèse amovible provisoire pour la période de cicatrisation (une période de 6 mois au minimum après un remplacement osseux), car il n’a jamais eu des prothèses provisoires, et ne la souhaitait pas. Selon lui, il ne pouvait pas s'identifier spirituellement à la prothèse, il était habitué à l’édention, pouvait encore vivre quelques mois sans dents et ne voudrait pas que la prothèse provisoire affecte la cicatrisation.
Les traitements ont été poursuivis 6 mois plus tard, les couronnes ont été posées sur les implants et les implants ont été placés dans la région supérieure droite.
Radio panoramique avant les soins, au début

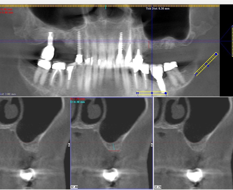
Le scanner, qui montrait la mâchoire supérieure et le sinus, nous permettait de mesurer la hauteur et la largeur de l'os en 3 dimensions. Dans les 3 plus petites images plus petites, il était clair qu’il n’y avait que 4,3 mm de hauteur qui n’était pas suffisant pour la pose d’un implant. C’est pourqoui, un remplacement osseux (sinus lift) était nécessaire. Si la hauteur de l'os est supérieure à 4 mm, le remplacement osseux peut être fait en même temps que la pose des implants.
IMPORTANT! Les prothèses dentaires sur implants ont besoin beaucoup plus d’attention, d’entretien, et de contrôle que les remplacements fixés sur les dents naturelles! Il est conseillé de se présenter à un contrôle et de faire effectuer un détartrage professionel par une hygièniste dentaire 2 fois dans la première année. Il existe une relation très proche entre l'état d'hygiène de la cavité buccale et le succès des implants à long terme. Il est aussi conseillé de vérifier si la morsure est correcte, si elle n’est pas 100% comfortable une occlusion traumatique peut causer une fracture de céramique ou une inflammation autour de l’implant, périimplantite.
Radio panoramique de contrôle après les traitements, le comblement osseux (sinus lift) et la pose des 2 implants supérieure à gauche. Sur le côté droit (pour vous gauche), vous voyez que l'ancien implant a été enlevé (explantation).
