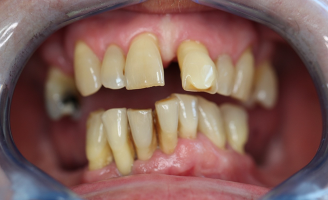
1. Páciens fémkerámia hidat kapott saját fogakra
A páciens felső fogainak többségét fiatal kora ellenére az előrehaladott parodontózis miatt el kellett távolítani. Pótlásukra egy teljes fémkerámia körhidat kapott még megmaradt 6 fogára. Az alsó fogsort Philips Zoom technológiával fehérítettük, hogy a mosoly egésze gyönyörű, egységes legyen.
2. Páciens fémkerámia hidat kapott saját fogakra
74 éves páciensünk régi koronáit azok esztétikai elváltozásai miatt eltávolítottuk, majd a megmaradt saját fogakra rögzítettük a teljes felső fémkerámia körhidat. A páciens korát, arcvonásait és esztétikai kívánságait figyelembe véve készült el a teljesen természetes hatást keltő körhíd.
3. Saját fogakra felhelyezett fémkerámia körhíd
A páciens alsó és felső fogsorára kapott fix fémkerámia körhidat. Ezeket a saját, lecsiszolt fogaira helyeztük fel.
4. Saját fogakra felhelyezett fémkerámia körhidak
A páciens alsó és felső fogsoraira is fix, fémkerámia körhidakat kapott. Ezeket a saját, lecsiszolt fogaira helyeztük fel. Kérésére a fog különösen természetes színezést kapott.
5. Fémkerámia híd saját fogakon
A hiányzó fogak implantátummal való pótlását követően a felső fogsort fémkerámia koronákkal tettük teljessé. Mivel fiatal hölgy páciensünk eredeti fogazata is karakteres volt, igyekeztünk a koronáit is eszerint megalkotni. Az eredmény kifejezetten természetes hatást kelt, az eredeti fogazathoz nagyon hasonló lett.
6. Fémkerámia körhíd
Miután az összes felső fogat gyökérkezeltük és gyökércsappal láttuk el, megfelelő alapot képeztek a fémkerámia körhíd számára. A mosoly így egységes és egészséges lett, amely hosszú évek után ismét magabiztossá tette viselőjét.
7. Fémkerámia hidak saját fogakon
70 éves páciensünk fogai a súlyos kopás ellenére kiváló alapként szolgáltak a koronák elkészítéséhez, miután csapozással erősítettük meg őket. A hátsó fogakat implantátumokkal pótoltuk. A hidak esztétikai tervezésénél figyelembe vettük a páciens vonásait, életkorát és megjelenését, hogy a végeredmény a lehető legtermészetesebb legyen.
8. fémkerámia körhíd 6 implantra
Egyes esetekben a fogak nem igényelnek komolyabb megelőző kezelést (gyökérkezelés, csapozás) mielőtt koronák készülnének rájuk. Középkorú páciensünk fogait csupán lecsiszoltuk és fémkerámia körhidat helyeztünk fel. Éjszakai sín is készült számára, ami sportolás vagy alvás közben védi a kerámiát az erőhatásoktól.


















