Szájsebészeti beavatkozás: Sinus lift, csontpótlás, egyidejű implantátum beültetés, explantáció (esettanulmány) (24)
Az 52 éves férfi páciens a következő kérésekkel kereste fel a Suba Dentál rendelőjét:
- A jobb felső régióban nem olyan régen foghúzása volt, így már mindkét oldalon hiányoztak a felső őrlőfogai, és a rágás szinte lehetetlenné vált számára. Szeretné helyreállítani fogsorának rágó funkcióját, és ezért pótoltatni szeretné a hiányzó fogait, ha lehetséges implantátumokkal.
- Nem zárkózik el a csontpótlástól sem, ha ez szükséges ahhoz, hogy implantátumokat kaphasson, de kivehető megoldást nem szeretne.
- A gyógyulási idő alatt sem szeretne semmilyen ideiglenes kivehető fogsort, ami kedvezőtlenül befolyásolhatná a gyógyulási esélyeket.
Első kezelés
Az első találkozó alkalmával CBCT (Cone beam computed tomography) felvétel készült, hogy a csontkínálatot 3 dimenzióban tudjuk vizsgálni az implantálás előtt. A CT felvétel alapján kiderült, hogy a bal oldalon az őrlők helyén nem megfelelő a csontmagasság, és csontpótlásra, úgynevezett sinus liftre lesz szükség. A jobb oldalon a korábbi foghúzás helye nem jól gyógyult, és egy sebészi tisztításra, kaparásra lesz szükség, hogy a benőtt lágyszöveteket (granulációs szövet) eltávolítsuk. A 17-es fog helyén lévő implantátum, melyet korábban egy másik klinikán kapott, szintén nagyon rossz állapotban volt, és a körülötte lévő nagyfokú csontfelszívódás és gyulladás, periimplantitis indokolttá tette a régi implantátum eltávolítását (explantáció).
Páciensükkel alaposan átbeszéltük a fogászati státuszát, elmagyaráztuk és elvégeztük kővetkező kezeléseket:
- A jobb oldalon a 17-es (legutolsó) implantátumot eltávolítottuk (explantáció), és a helyét, valamint a mellette lévő rosszul gyógyult foghúzás helyét sebészileg kitisztítottuk. Ide ekkor még nem kaphatott implantátumokat a gyulladás miatt. Csak a 4-6 hónap gyógyulási idő elteltével lehet visszatérni ennek a régiónak a további kezelésére.
- A bal oldalon, az alacsony csontmagasság miatt csontpótlást kellett végezni (sinus lift), majd ugyanebben az ülésben be is helyeztünk 2 db implantátumot. Csontpótlásos fogbeültetés esetén minimum 6 hónapot várunk a végleges koronák/hidak elkészítésével!
Páciensünk kérésére nem készítettünk ideiglenes kivehető fogsort a gyógyulási időre (6 hónap a csontpótlás utáni minimum gyógyulási idő), mert eddig sem hordott semmilyen ideiglenes megoldást, és nem is szeretne. Elmondása szerint lelkileg nem tudna azonosulni vele, megszokta a fogatlanságot, és még egy pár hónapot képes így élni, valamint nem szeretné, hogy az ideiglenes fogsor befolyásolja a gyógyulást.
A kezeléseket 6 hónap elteltével fogjuk folytatni, az implantátumokra koronákat készítünk, és a jobb oldali felső régióba implantátumokat helyezünk be.

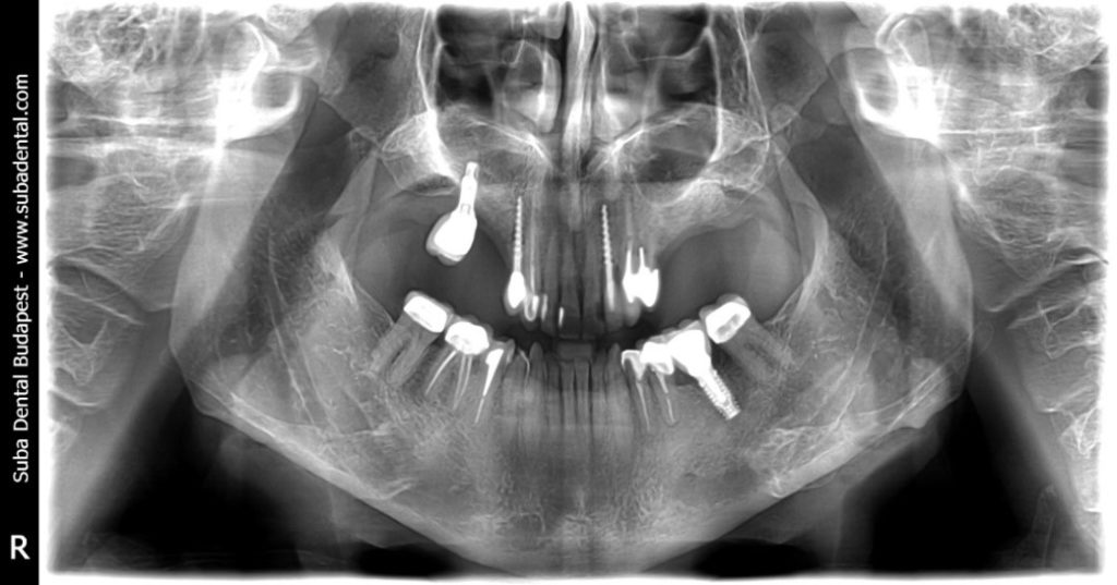
Panorámaröntgen-felvétel a kiinduló helyzetről

CT felvétel, amelyen a felső állcsontot és az arcüreget látjuk, a csont magasságát, szélességét 3 dimenzióban tudjuk vizsgálni. Az alsó 3 kisebb képen jól látszik, hogy csak 4.3mm csontmagasságunk van, ami kevésnek számít. Így csontpótlásra (sinus liftre) volt szükség. Amennyiben a csont magassága 4 mm-nél nagyobb, a csontpótlással együtt a fogbeültetés, implantálás is elvégezhető
FONTOS!
Az implantációs fogpótlás ugyanolyan, ha nem több odafigyelést, gondozást és utókövetést igénylő pótlás, mint a természetes fogakon elhorgonyzott változatok! Javasolt a beavatkozást követő első évben kétszer is megjelenni egy rövid ellenőrzésen, és fogkő-eltávolítást is végezni. A fogkő és az implantátumok hosszú távú sikeressége között nagyon szoros összefüggés van! Tanácsos a harapást is gyakran ellenőrizni, mert ha nem 100%-osan kényelmes, a túlterhelés, traumás okklúzió miatt lepattanhat a kerámia, vagy az implantátumok körül gyulladás, periimplantitis alakulhat
ki!

Kontroll panoráma-felvétel az elvégzett kezelésekről, a bal oldali felső 2 implantátumról és a csontpótlásról (sinus lift). Jobb oldalon (önnek a balon) látszik, hogy a régi implantátumot már eltávolítottuk (explantáció)
