Fogpótlás készítése idegen implantátumra (40)
Napjainkban több száz különböző márkájú és típusú fogászati implantátum van forgalomban a világon. Az implantátumok felületkezelésben (külső felület), a felépítménnyel való kapcsolatukban (belső kialakítás), a különböző műtéti technikákhoz javasolt felhasználásukban és árban különböznek egymástól. A különböző gyártók termékeihez, de még egy gyártón belül is a különböző típusú implantátumokhoz más és más eszközök szükségesek egy korona elkészítéséhez. Az implantátum átmérője, a felépítmény (abutment) csatlakozásának kialakítása is különböző lehet, és ahhoz, hogy elkészítsünk egy új koronát vagy hidat az implantátumra, a megfelelő, az implantátummal „kompatibilis” lenyomatvételi fejet és felépítményt kell kiválasztani a fogorvosnak.

Straumann implantátum és a felépítmény kapcsolódása
Forrás: Straumann.com
Általában egy rendelőn belül maximum 2-3 különböző márkájú implantátumot ültetnek be, tehát ezek felépítésére vannak „berendezkedve”. Amennyiben az implantátumot más rendelőben vagy más országban ültették be, egy sima koronacsere sem egyszerű feladat, mert az ilyen típusú megkereséseknél alaposan utána kell járni az implantátum adatainak, és alapos felkészülésre van szükség. A rendelőnkben beültetett implantátumokról a műtét után a beteg egy kis füzetet kap, egy „Implant Passport”-ot, amit meg kell őrizni, hogy bármikor bármilyen baleset, koronatörés, híd elmozdulása történik, bárhol van a beteg a világon, a fogorvos ennek az Implant Passportnak a segítségével le tudja cserélni a sérült hidat, és újat tudjon készíteni!
Javaslat: ha Önnek már régi implantátum van a szájában, és a műtét után nem kapta meg a sebésztől az Implant Passportot, valamint a műtét után készült kontroll panorámaröntgent, haladéktalanul keresse fel a sebészt, és kérjen be minden adatot az implantátumokról. Ehhez joga van, és sosem lehet tudni, mikor és hol lesz rá szüksége!!!

Forrás: straumann.de
A mindennapi gyakorlatban előfordul, hogy az implantátum behelyezése és a korona készítése nem ugyanabban a rendelőben történik. Ennek számos oka lehet, például:
- A fogbeültetést végző szájsebész csak a sebészeti részt, a fogbeültetést vállalja.
- A páciens bizalmát vesztette ott, ahol műtötték, és inkább más rendelőben folytatná a kezelését.
- Anyagi okok: a külföldön beültetett implantátumok esetében előfordult már, hogy a beteg a kedvezőbb árak miatt inkább más országban készítteti a koronákat (Dentál Turizmus).
- Költözés miatt egy közelebbi klinikán szeretné folytatni a kezelést a páciens.
Nagy általánosságban elmondható, hogy lehetséges egy másik klinikán vagy egy másik országban beültetett implantátum felépítése és koronázása, de ahhoz néhány nagyon fontos információra van szüksége a fogorvosnak a már behelyezett implantátumról.
A beültetéskor a sebész kitölt egy implant passportot, ami minden adatot tartalmaz a beültetett implantátumról. Ezt jól meg kell őrizni, mert amint a korona vagy a fogpótlás cserére szorul, a benne lévő adatokra szükség lesz!
Amikor mások által beültetett implantátumra kell fogpótlást készítenünk ajánljuk, hogy vegyen részt egy személyes konzultáción, hogy megvizsgáljuk az implantátumok állapotát, és át tudjuk beszélni a javasolt fogpótlás(ok) lehetőségeit. Ennél a találkozásnál nem kell kezelésre számítani, csak panorámaröntgent készítünk, és átvizsgáljuk a fogait. Felállítunk egy kezelési tervet, melyet árajánlat formájában oda is adunk. Átbeszéljük a fogpótlási lehetőségeket és az esetleges további teendőket a kezelés megkezdése előtti időszakra, valamint megtervezzük a kezelés kezdésének időpontját és menetét.
Mit vigyek magammal a személyes konzultációra?
A következők hasznosak lehetnek a konzultáció alkalmával:
- Korábbi panorámaröntgenek.
- Implant Passport.
- A felépítéshez szükséges eszközök közül bármi, ami a beteg tulajdonában van, hogy megmutathassa a fogorvosnak, mert el kell dönteni, mi az, ami felhasználható a kezelés során, és mi az, amit meg kell rendelni, beszerezni vagy kölcsönkérni a gyártótól a kezelés időpontjára.
- Amennyiben a régi implantátumok körül gyulladás látszik, periimplantitisre utaló klinikai vagy radiológiai tünetek vannak (vérző, gyulladt íny, fájdalom, csontfelszívódás, genny ürül az implantátum mellől), a fogorvos azonnal kérhet egy 3 dimenziós CBCT röntgenfelvételt. Sajnos az is előfordulhat, hogy nemcsak a koronát, hanem az egész implantátumot el kell távolítani a kezeletlen periimplantitis okozta fertőzés miatt!

A jobb oldali felső utolsó implantátum menthetetlen volt a körülötte kialakult gyulladás és csontveszteség miatt

Bal alsó úgynevezett penge implantátum körül teljesem felszívódott a csont. Sürgősen el kellett távolítani, mivel gennyes, fájdalmas volt

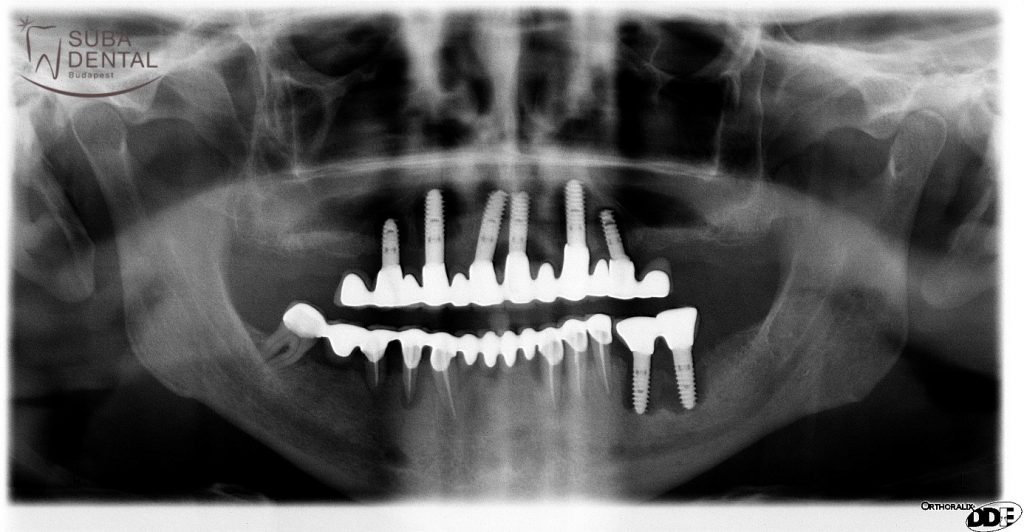
Rendszeres ellenőrzés elmulasztása miatt minden implantátumot el kellett távolítani, mert mindegyik körül úgynevezett periimplantitis alakult ki

Implantátum körüli gyulladás intraorális röntgenfelvételen
Mi történik a régi implantátum korona- vagy hídcsere kezelés során?
- Lehetőség: a legideálisabb, a legdrágább és a leghosszabb ideig tartó megoldás, amikor minden elemet lecserélünk, és teljesen új implantátum elemekkel készítjük el az új hidat. A fogorvos helyi érzéstelenítésben eltávolítja a régi implantátum koronát vagy hidat, kicsavarja a régi felépítményt és az egész munkát az implantátum szintjéről és teljesen az elejétől kezdi újra. Ehhez a következő eszközökre van szükség a kezelés során:
- gyógyulási csavar (healing abutment)
- lenyomatvételi fej
- laboranalóg
- csavarhúzó
- racsnis kulcs (nyomatékkulcs)

Precíziós lenyomat a 2 darab Straumann implantátumról a zárt kanalas lenyomatvételi fejekkel (oldalnézetből)
A kezelés során eltávolítjuk a régi implantátum koronát vagy hidat, precíziós lenyomatokat veszünk, és a mesterminta elkészítése után tudja csak a technikus megrendelni az egyénre szabott implantátum felépítményeket (abutment), amire elkészül az új korona vagy híd. Rendelőnk csak akkor tud garanciát vállalni az új fogpótlásra, ha minden új felépítményekre készül!

Straumann felépítmények széles palettája
Forrrás: straumann.com

Bal felső ragasztható implantátum felépítmények gipszmodellen

Implantátum korona a csavarhúzóval a mestermintán, felülnézetből
Elengedhetetlenül fontos tudni az implantátum márkáját, típusát és a méretét. Ezek alapján utána tudunk nézni, hogy van-e a szájban lévő régi implantátumnak Magyarországon forgalmazója, akitől beszerezhetők a szükséges eszközök a fogpótlás elkészítéséhez. Minden adatra és eszközre szükség van a kezelés elkezdése előtt, mindenre fel kell készülni, hogy ne a kezelés során derüljön ki, hogy hiányzik, vagy nem passzol valami, mert akkor akár napokig vagy hetekig fogatlanul maradhat a beteg, míg beszerezzük a szükséges elemeket!
- lehetőség: minden régi felépítményt megtartunk, és csak a régi koronát vágjuk le. Ez a legyorsabb, legolcsóbb és legegyszerűbb koronacsere. Nagyon szerencsés esetben elképzelhető, hogy a korona eltávolítása után megtartható a régi felépítmény (abutment), mert jó állapotban van, szépen dolgozott az előző fogorvos. Ilyenkor magáról a felépítményről veszünk direkt lenyomatot, mintha egy fogcsonkra készítenénk hidat, nem is csavarjuk ki a helyéről a felépítményt. Ilyenkor nincs szükség semmilyen elemre, csak a csavarhúzóra és a racsnis kulcsra, hogy a felépítményt tartó kiscsavart tudjuk ellenőrizni, elég stabilan áll-e. Érdemes ilyenkor újra ráhúzni 35 Ncm-re a csavart, hogy biztosak legyünk benne, hogy a híd levágásának során a rezgések, a régi híd lefeszítése nem lazította ki a felépítményt a helyéről! Ha stabil a felépítmény, nem mozdult meg, jó helyen van és megfelelő az ínymagasság, esztétikailag szép koronát lehet rá készíteni, és csak szulkusztágítózni kell a felépítményt majd precíziós lenyomatot venni róla, amire a fogtechnikus elkészítheti az új ragasztható implantátum koronát, hidat. Előnye ennek a koronacserének, hogy gyors, olcsó és egyszerű megoldás, hátránya pedig az, hogy ebben az esetben, a Suba Dentál rendelő nem tud garanciát vállalni a pótlásra, mert az implantátumot nem mi helyeztük be, a felépítményt nem mi rendeltük és nem a mi fogtechnikusunk csiszolta be a felépítményt. Olyan ez, mintha egy használt autót újítanánk fel…, szép és jó, évekig működhet, de nem tudunk egy új fogpótláshoz hasonló garanciális feltételeket biztosítani.
Mi a teendő abban az esetben, ha már korábban megvásároltam a felépítéshez szükséges eszközöket? Felhasználhatók ezek újra?
Nagy valószínűséggel igen. Általában ezek fémből készült eszközök, melyeket újra fel tudunk használni az új fogpótlás készítésénél. Természetesen ez csak a személyes beszélgetés és röntgenvizsgálatok után dönthető el!
Abban az esetben, ha Magyarországon nem forgalmazzák a beültetett implantátumomat, de külföldön élek, és ott megtalálható, akkor beszerezhetem a szükséges eszközöket?
Természetesen, ha be tudja szerezni a szükséges eszközöket, (pl.: csavarhúzó, nyomatékkulcs, lenyomatvételei fej, gyógyulási csavar, laboranalóg, végleges felépítmény), akkor semmi akadálya a fogpótlás elkészítésének. Ilyenkor a fogorvosnak közvetlenül fel kell vennie a kapcsolatot a gyártóval a teljes „bevásárlólista” elkészítésének érdekében, hogy semmi ne maradjon ki, és ne legyen akadálya a fogpótlás elkészítésének.
