Sorozat frontfog tömések, élpótlások Asteria kompozittal (Esetbemutató) (54)
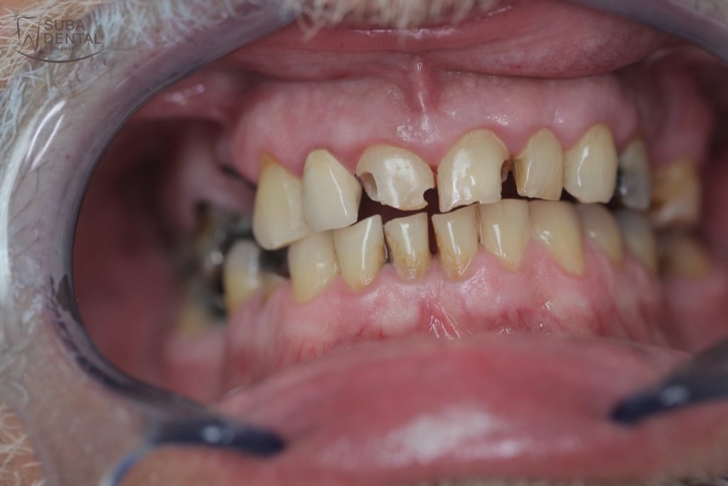
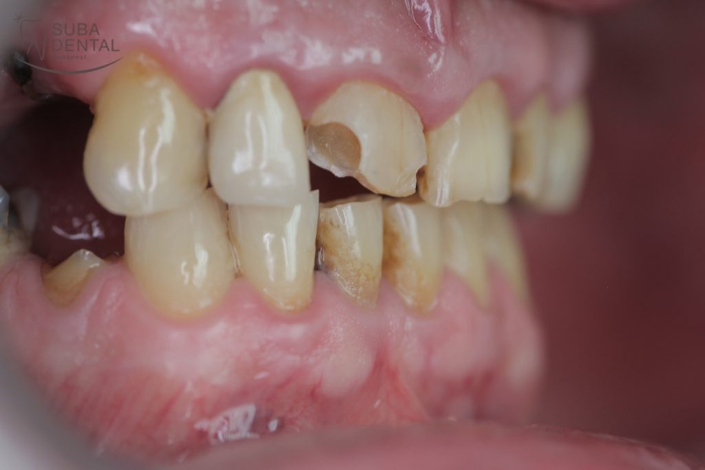
A 67 éves férfi páciens állapotfelmérés céljából érkezett rendelőnkbe. Fogászati problémáira komplett kezelési tervet kapott, amely a felső állcsont esetében egy körhíd készítését jelentette. A páciens azonban csak 2 napra érkezett Magyarországra, ezért ebben a 2 napban próbáltunk fókuszálni a páciens legfőbb problémáinak megoldására.



A frontfogak tömésére Tokuyama Asteria Estelite anyagokat használtunk.



Kulcsszavak: élpótlás, kompozit tömés, Asteria kompozit, esztétikus fogtömés
